[Ortho] Плечелопаточный периартроз?

orthoforum на weborto.net orthoforum на weborto.net
Ср Ноя 28 23:28:42 YEKT 2007


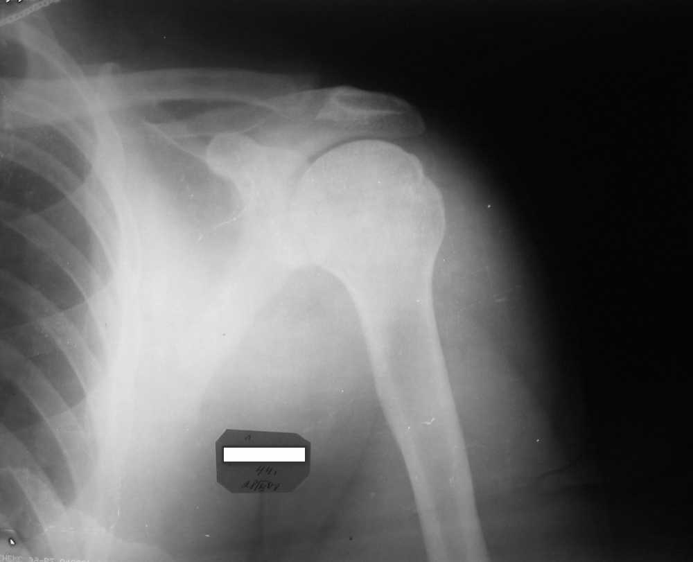
Мужчина, 45 лет. Профессионально занимается культуризмом. При жиме лёжа 
возникают резкие боли в левом ключично-акромиальном сочленении в течение 
3 лет. В покое болей нет.

Похожая картина была и справа, однако удалось стабилизировать ситуацию с 
помощью консервативоного лечения.
Что, на Ваш взгляд, следует предпринять? Какие дополнительные 
исследования были бы полезны для определения тактики? Нет ли здесь 
показаний к декомпрессии подакромиального пространства? Если да, то что 
именно сделать?
Олег Бейдик



----------- следущая часть -----------
Вложение не в текстовом формате было извлечено…
Имя     : IMG_3097.jpg
Тип     : image/jpeg
Размер  : 23992 байтов
Описание: отсутствует
Url     : http://weborto.net:8080/pipermail/ortho/attachments/20071128/751fda2f/attachment-0002.jpg 
----------- следущая часть -----------
Вложение не в текстовом формате было извлечено…
Имя     : IMG_3098.jpg
Тип     : image/jpeg
Размер  : 21227 байтов
Описание: отсутствует
Url     : http://weborto.net:8080/pipermail/ortho/attachments/20071128/751fda2f/attachment-0003.jpg 


Подробная информация о списке рассылки Ortho