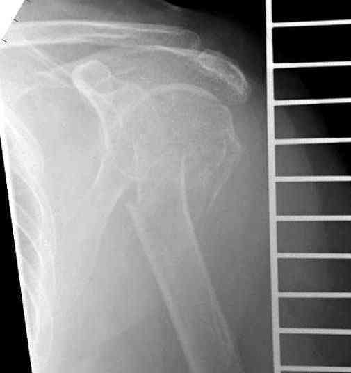
[Ortho] Оскольчатый перелом шейки, головки плечевой кости

orthoforum на weborto.net orthoforum на weborto.net
Ср Ноя 28 23:58:33 YEKT 2007


> С удовольствием выслушал ваши предложения но все равно сделал по-своему.
> Под проводниковой анестезией произвел попытку закрытой репозиции на 10-е сутки, вроде бы неплохо получилось.

Сармиенто доказал, что не только проксимальные переломы плеча, но и 
переломы длинных костей можно с успехом лечить консервативно. Но, кроме 
сопоставления перелома, немаловажным фактором является удержание 
перелома до сращения.

Было бы интересно посмотреть на результат "успешной репозиции" дней 
через 10?


> Фрагменты головки настолько малы, и думаю тоже
> расколоты - куда совать металл?


"В зависимости от того, какой металл и имплант, современные импланты 
дают возможности удержания фрагментов головки".

Наличие рентген контроля (ЭОП) помогает во время
репозиции и фиксации, но многие коллеги умудряются без рентгена 
фиксировать несколькими спицами перкутанно.

Из-за тенденции миграции осторожно со спицами,
особенно у пожилых, слабые кости не выдерживают
нагрузку, были случаи миграции, обнаруженные при первом же амбулаторном 
приеме, поэтому методика Лазарева напряженными спицами более приемлема, 
особенно у тех, кто испытывает нехватку фиксирующих конструкций (на 
сайте имеется описание техники).

Наш недавний случай перкутанной фиксации "методом
Сиэтла" спицами 2.8 мм с резьбой на конце.


Второй случай в следующем сообщении.

Djoldas Kuldjanov, MD
Department of Orthopedic Surgery
St. Louis University Medical Center
Djoldas Kuldjanov



----------- следущая часть -----------
Вложение не в текстовом формате было извлечено…
Имя     : 1 Proximal humerus CRM.jpg
Тип     : image/jpeg
Размер  : 13507 байтов
Описание: отсутствует
Url     : http://weborto.net:8080/pipermail/ortho/attachments/20071128/ffd31465/attachment-0005.jpg 
----------- следущая часть -----------
Вложение не в текстовом формате было извлечено…
Имя     : 1 Proximal humerus injury.jpg
Тип     : image/jpeg
Размер  : 21476 байтов
Описание: отсутствует
Url     : http://weborto.net:8080/pipermail/ortho/attachments/20071128/ffd31465/attachment-0006.jpg 
----------- следущая часть -----------
Вложение не в текстовом формате было извлечено…
Имя     : 3 Proximal humerus CRM.jpg
Тип     : image/jpeg
Размер  : 20300 байтов
Описание: отсутствует
Url     : http://weborto.net:8080/pipermail/ortho/attachments/20071128/ffd31465/attachment-0007.jpg 
----------- следущая часть -----------
Вложение не в текстовом формате было извлечено…
Имя     : 5 Proximal humerus CRM.jpg
Тип     : image/jpeg
Размер  : 14139 байтов
Описание: отсутствует
Url     : http://weborto.net:8080/pipermail/ortho/attachments/20071128/ffd31465/attachment-0008.jpg 
----------- следущая часть -----------
Вложение не в текстовом формате было извлечено…
Имя     : 8 Proximal humerus CRM.jpg
Тип     : image/jpeg
Размер  : 20321 байтов
Описание: отсутствует
Url     : http://weborto.net:8080/pipermail/ortho/attachments/20071128/ffd31465/attachment-0009.jpg 


Подробная информация о списке рассылки Ortho