[Ortho] Оскольчатый перелом шейки, головки плечевой кости

orthoforum на weborto.net orthoforum на weborto.net
Чт Ноя 29 00:00:21 YEKT 2007


Второй случай, для лечения перелома проксимального
плеча применили пластину "Hand Innovation"
http://www.handinnovations.com/pdf/S3_technique.pdf

Пластина имеет преимущества перед другими "Locking
Implants", потому что пластину можно уложить намного ниже чем другие 
пластины и имеется возможности проведения шурупов под 130 градусным 
углом, таким образом можно уменьшить операционный разрез в проксимальной 
части.

Прооперирован вчера на 13 день после поступления.
Больному 41 и из-за гемодинамической нестабильности в течение первых 7 
дней был в реанимации под интубационной седацией.
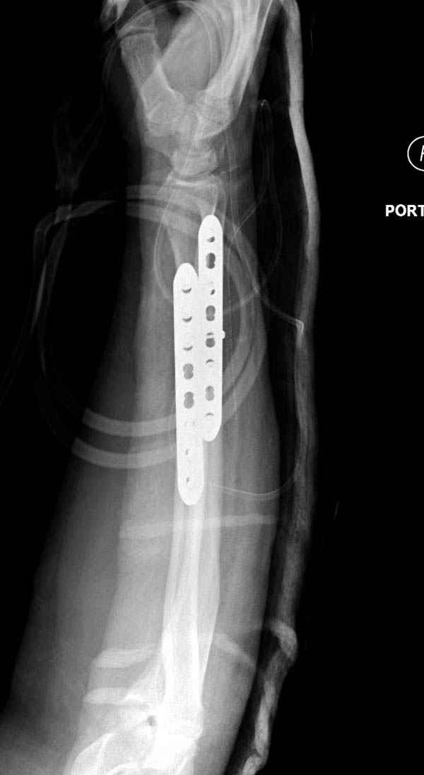
Кроме перелома плеча у больного старый дистракционный перелом T12-L1 
оперированный когда-то и кем-то, открытый перелом костей предплечья, 
который был прооперирован в ночь поступления, после I&D (хирургической 
обработки). Из-за разрыва селезенки при поступлении травма хирургами 
произведено удаление.

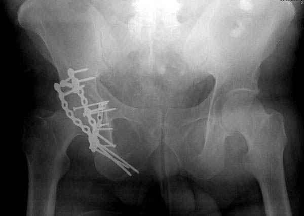
Дополнительно имеется перелом ацетабулума: задняя
колонна с полупоперечным переломом, и переломы костей лица.

На седьмой день зафиксирован перелом ацетабулума через задний доступ. 
Перед операцией для профилактики DVT, IVC фильтер, также получает  Lovenox.
После операции на ацетабулум был экстубирован, сегодня опять же 
интубирован, из-за невменяемости и казуса, проявления "вампирства" - 
опустошил посуду с кровью от дренажа.

Извиняюсь за качества снимков, обычный больной в 300 фунтов, портативным 
ренген аппаратом не пробить.


Djoldas Kuldjanov, MD
Department of Orthopedic Surgery
St. Louis University Medical Center
Djoldas Kuldjanov



----------- следущая часть -----------
Вложение не в текстовом формате было извлечено…
Имя     : 1 proximal hum CRM.jpg
Тип     : image/jpeg
Размер  : 22622 байтов
Описание: отсутствует
Url     : http://weborto.net:8080/pipermail/ortho/attachments/20071129/c86944d4/attachment-0006.jpg 
----------- следущая часть -----------
Вложение не в текстовом формате было извлечено…
Имя     : 2 proximal hum +forearm.jpg
Тип     : image/jpeg
Размер  : 32705 байтов
Описание: отсутствует
Url     : http://weborto.net:8080/pipermail/ortho/attachments/20071129/c86944d4/attachment-0007.jpg 
----------- следущая часть -----------
Вложение не в текстовом формате было извлечено…
Имя     : 3 proximal hum +forearm.jpg
Тип     : image/jpeg
Размер  : 41814 байтов
Описание: отсутствует
Url     : http://weborto.net:8080/pipermail/ortho/attachments/20071129/c86944d4/attachment-0008.jpg 
----------- следущая часть -----------
Вложение не в текстовом формате было извлечено…
Имя     : 4 proximal hum +acetabulum.jpg
Тип     : image/jpeg
Размер  : 19494 байтов
Описание: отсутствует
Url     : http://weborto.net:8080/pipermail/ortho/attachments/20071129/c86944d4/attachment-0009.jpg 
----------- следущая часть -----------
Вложение не в текстовом формате было извлечено…
Имя     : 6 proximal hum +acetabulum iliac.jpg
Тип     : image/jpeg
Размер  : 19051 байтов
Описание: отсутствует
Url     : http://weborto.net:8080/pipermail/ortho/attachments/20071129/c86944d4/attachment-0010.jpg 
----------- следущая часть -----------
Вложение не в текстовом формате было извлечено…
Имя     : proximal humerus injury.jpg
Тип     : image/jpeg
Размер  : 17693 байтов
Описание: отсутствует
Url     : http://weborto.net:8080/pipermail/ortho/attachments/20071129/c86944d4/attachment-0011.jpg 


Подробная информация о списке рассылки Ortho