[Ortho] Оскольчатый перелом шейки, головки плечевой кости

orthoforum на weborto.net orthoforum на weborto.net
Пт Ноя 30 23:31:23 YEKT 2007


> На 20-е сутки снял гипс, одел фиксирующюю ортопедическую повязку. Вот контроль. Как видно, стояние хорошее, уже формируется костный мозоль.
> Думаю еще недели 3 продолжать фиксацию.

Сергей, отличный результат, поздравляю.

Консервативный метод лечения применяем, когда имеющиеся особые кондиции 
больного не позволяет идти в операционную, может быть из-за общего 
состояния, или от причин, связанных с нежеланием оперативного лечения.
Изолированные переломы также являются одним из
показаний к проведению консервативного лечения, когда нет необходимости 
опоры на конечность.

Консервативное лечение проводим более активно, без
гипса, на брейсе, восстановление движений в суставе начинаем с двух с 
половиной недель маятниковыми упражнениями конечности, затем переходим 
на круговые с увеличением амплитуды. По мере успеха небольшие абдукции 
на плече в три с половиной недели, под обязательным рентгенологическим 
контролем.

> Головка плеча в небольшом варусе или это проекционное?


Да, там имеем небольшой варус, надеемся, что в будущем  проблемы не будет.

Из-за большого обьема конечности доступ к бугорку был затруднен, 
предварительно зафиксированный шуруп не удержал бугорок, поэтому 
фиксацию провели толстыми нитками. Состоятельность фиксации бугорка 
обычно проверяем во время операции, под рентген контролем проводится 
движения конечности, особенно приведение.

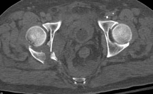
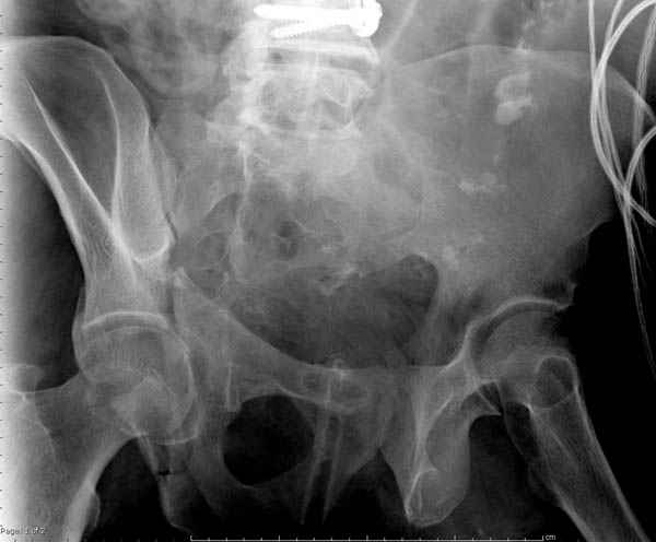
> По возможности вышлите снимки, сканы таза до реконструкции, интраоперационные.

> По снимку создается впечатление о высоком поперечном переломе, задней колонны, стенки; почему не пользовались *magic screw*?
> Положение больного на животе или на боку?



Не хотелось отклоняться от основной темы, поэтому здесь краткие ответы..

  Латеральное положение облегчает проведение тракции через вертел, за 5 
мм стержень в вертеле (грузом через тракционное приспособление), на 
обычном рентгенопрозрачном операционном столе, а для положения на 
животе, наверное, Judet Table более приемлем, потому что там имеется 
латеральное тракционное устроиство.

Там множество обычных 2.7 мм шурупов, потом идет фиксация основными 
пластинами.


> Кава фильтр при переломах таза - это протокол или только для пациентов с политравмой?

Профилактику DVT и установку кава фильтер применяем почти у всех с 
множественными травмами, особенно тем, кто потенциально должны находится 
длительно без активного движения, тем более тем, кто страдает избытком веса.
В нашем протоколе в день операции делаем допплеровскую проверку сосудов, 
и в координации с сосудистыми хирургами установку фильтра до начала 
нашей операции, современные фильтры временные, можно удалить через 
несколько месяцев.

Полную нагрузку разрешаем в 12 недели, хотя движения в суставе с первых 
дней.

  Снимки здесь и в следующем сообщении....

Djoldas Kuldjanov, MD
Department of Orthopedic Surgery
St. Louis University Medical Center




----------- следущая часть -----------
Вложение не в текстовом формате было извлечено…
Имя     : 1 Proximal hum+acetabulum pelvis.jpg
Тип     : image/jpeg
Размер  : 25602 байтов
Описание: отсутствует
Url     : http://weborto.net:8080/pipermail/ortho/attachments/20071130/37ea88e5/attachment-0008.jpg 
----------- следущая часть -----------
Вложение не в текстовом формате было извлечено…
Имя     : 2 Proximal hum+acetabulum Judet iliac.jpg
Тип     : image/jpeg
Размер  : 26064 байтов
Описание: отсутствует
Url     : http://weborto.net:8080/pipermail/ortho/attachments/20071130/37ea88e5/attachment-0009.jpg 
----------- следущая часть -----------
Вложение не в текстовом формате было извлечено…
Имя     : 3 Proximal hum+acetabulum Judet.jpg
Тип     : image/jpeg
Размер  : 28264 байтов
Описание: отсутствует
Url     : http://weborto.net:8080/pipermail/ortho/attachments/20071130/37ea88e5/attachment-0010.jpg 
----------- следущая часть -----------
Вложение не в текстовом формате было извлечено…
Имя     : 1Proximal hum+acetabulum CT.jpg
Тип     : image/jpeg
Размер  : 20757 байтов
Описание: отсутствует
Url     : http://weborto.net:8080/pipermail/ortho/attachments/20071130/37ea88e5/attachment-0011.jpg 
----------- следущая часть -----------
Вложение не в текстовом формате было извлечено…
Имя     : 2 Proximal hum+acetabulum CT.jpg
Тип     : image/jpeg
Размер  : 18816 байтов
Описание: отсутствует
Url     : http://weborto.net:8080/pipermail/ortho/attachments/20071130/37ea88e5/attachment-0012.jpg 
----------- следущая часть -----------
Вложение не в текстовом формате было извлечено…
Имя     : 3 Proximal hum+acetabulum CT.jpg
Тип     : image/jpeg
Размер  : 22107 байтов
Описание: отсутствует
Url     : http://weborto.net:8080/pipermail/ortho/attachments/20071130/37ea88e5/attachment-0013.jpg 
----------- следущая часть -----------
Вложение не в текстовом формате было извлечено…
Имя     : 4 Proximal hum+acetabulum CT.jpg
Тип     : image/jpeg
Размер  : 21379 байтов
Описание: отсутствует
Url     : http://weborto.net:8080/pipermail/ortho/attachments/20071130/37ea88e5/attachment-0014.jpg 
----------- следущая часть -----------
Вложение не в текстовом формате было извлечено…
Имя     : 5 Proximal hum+acetabulum CT.jpg
Тип     : image/jpeg
Размер  : 21074 байтов
Описание: отсутствует
Url     : http://weborto.net:8080/pipermail/ortho/attachments/20071130/37ea88e5/attachment-0015.jpg 


Подробная информация о списке рассылки Ortho