[Ortho] Открытый перелом медиальной лодыжки

orthoforum на weborto.net orthoforum на weborto.net
Сб Окт 6 13:21:24 YEKST 2007


Уважаемые коллеги здравствуйте. Поступил пациент 27 лет травма 
мотоциклетная Д/З:
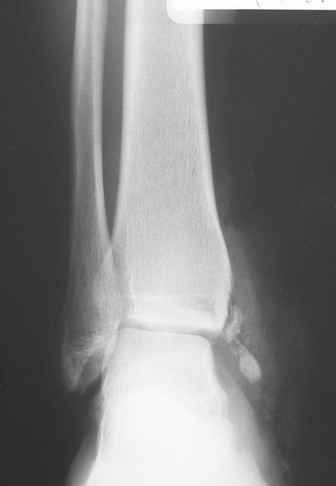
Открытый перелом медиальной лодыжки с дефектом костной ткани, обширная
рвано-скальпированная рана передне-медиальной поверхности г/стопного 
сустава с
дефектом мягких тканей. При поступлении ПХО пластика дефекта кожи 
перемещенным лоскутом. В послеоперационном периоде ввиду синюшности 
перемещенного лоскута швы сняты.По формировании зоны некроза - 
некрэктомия, дерматомная аутопластика. Пластика состоятельная. Какие 
будут соображения по дальнейшей такике? На сколько пациент может
реабилитироваться в плане функции г/стопного сустава?

Заранее благодарю, с уважением Пак Л.




----------- следущая часть -----------
Вложение не в текстовом формате было извлечено…
Имя     : P1040351.jpg
Тип     : image/jpeg
Размер  : 15553 байтов
Описание: отсутствует
Url     : http://weborto.net:8080/pipermail/ortho/attachments/20071006/4a1cb6cc/attachment.jpg 


Подробная информация о списке рассылки Ortho