[Ortho] Вывих акромиального конца ключицы

orthoforum на weborto.net orthoforum на weborto.net
Сб Окт 20 10:34:40 YEKST 2007


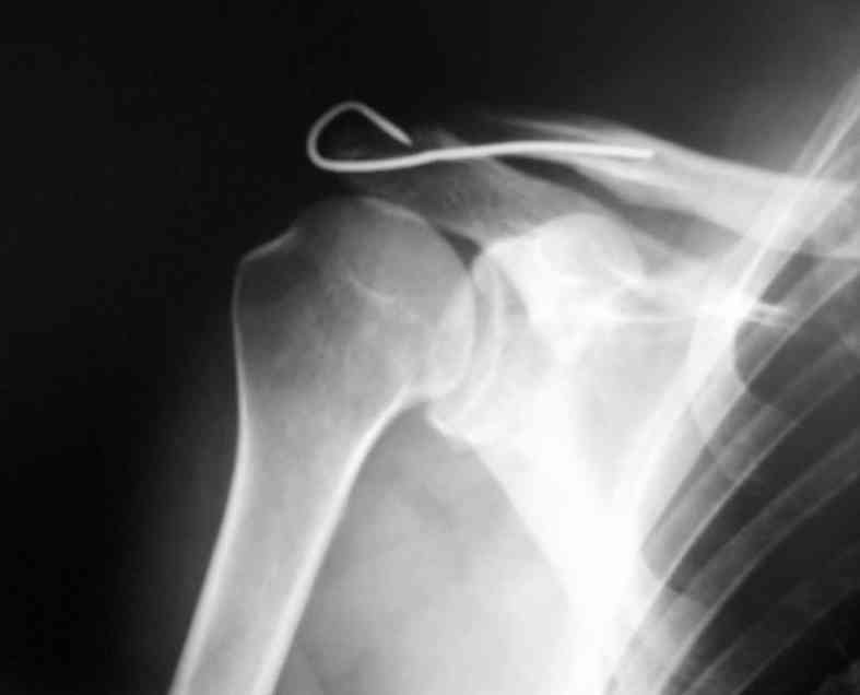
Здравствуйте.Извиняюсь за задержку. Фотографии фиксации АКС. Канал для 
ножки фиксатора формируется затупленным шилом, для уменьшения опасности 
перфорации кортикального слоя.
В некоторых клиниках активно применяли конструкции из никелида титана (с 
термомеханической памятью) с фиксацией за ключицу и клювовидный 
отросток. Сам не применял, но отзывы были хорошие а рентгенограммы красивые.
С уважением, Сергей.




----------- следущая часть -----------
Вложение не в текстовом формате было извлечено…
Имя     : АКС.jpg
Тип     : image/jpeg
Размер  : 24384 байтов
Описание: отсутствует
Url     : http://weborto.net:8080/pipermail/ortho/attachments/20071020/7d0d5920/attachment-0001.jpg 


Подробная информация о списке рассылки Ortho