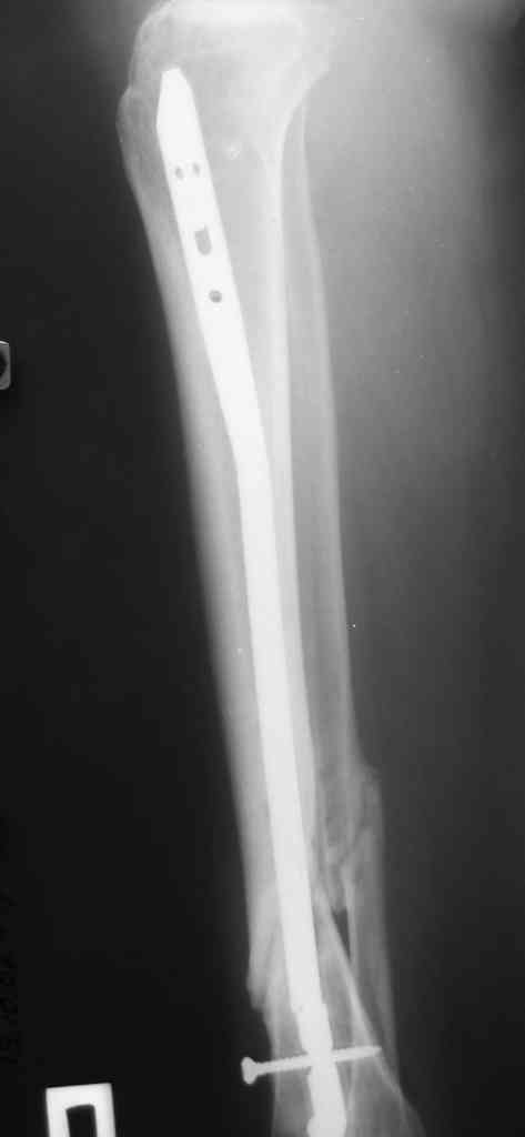
[Ortho] Ложный сустав голени перелом штифта

orthoforum на weborto.net orthoforum на weborto.net
Ср Окт 24 01:41:28 YEKST 2007


Р-граммы по теме прилагаю

----------- следущая часть -----------
Вложение не в текстовом формате было извлечено…
Имя     : А.jpg
Тип     : image/jpeg
Размер  : 15964 байтов
Описание: отсутствует
Url     : http://weborto.net:8080/pipermail/ortho/attachments/20071024/0a8b51b5/attachment-0004.jpg 
----------- следущая часть -----------
Вложение не в текстовом формате было извлечено…
Имя     : Б.jpg
Тип     : image/jpeg
Размер  : 15289 байтов
Описание: отсутствует
Url     : http://weborto.net:8080/pipermail/ortho/attachments/20071024/0a8b51b5/attachment-0005.jpg 
----------- следущая часть -----------
Вложение не в текстовом формате было извлечено…
Имя     : В.jpg
Тип     : image/jpeg
Размер  : 31087 байтов
Описание: отсутствует
Url     : http://weborto.net:8080/pipermail/ortho/attachments/20071024/0a8b51b5/attachment-0006.jpg 
----------- следущая часть -----------
Вложение не в текстовом формате было извлечено…
Имя     : Г.jpg
Тип     : image/jpeg
Размер  : 28751 байтов
Описание: отсутствует
Url     : http://weborto.net:8080/pipermail/ortho/attachments/20071024/0a8b51b5/attachment-0007.jpg 


Подробная информация о списке рассылки Ortho