[Ortho] open dislocation of the knee joint

orthoforum на weborto.net orthoforum на weborto.net
Пн Окт 29 21:13:21 YEKT 2007


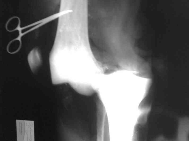
Bolnoi 27 let, DTP, Motorcycle trauma, postupil v kreane tiajelom 
sostoianii, osnovnia trauma- otkrity totalny vyvih levogo kolennogo 
sustava s povrezhdeniem malogo bertsovogo nerva, trakcionnot povrezdenie 
podkolennoi arterii bez narushenia tselostnost' sosuda, pomosh' okazana 
v nujnum obeme, kakoe ze mnenie uvazaemih kolleg naschet dalneshego 
vedenia bolnogo?

Castro


----------- следущая часть -----------
Вложение не в текстовом формате было извлечено…
Имя     : 1.JPG
Тип     : image/jpeg
Размер  : 35763 байтов
Описание: отсутствует
Url     : http://weborto.net:8080/pipermail/ortho/attachments/20071029/648d7701/attachment-0001.jpeg 
----------- следущая часть -----------
Вложение не в текстовом формате было извлечено…
Имя     : 2.jpg
Тип     : image/jpeg
Размер  : 12561 байтов
Описание: отсутствует
Url     : http://weborto.net:8080/pipermail/ortho/attachments/20071029/648d7701/attachment-0004.jpg 
----------- следущая часть -----------
Вложение не в текстовом формате было извлечено…
Имя     : 3.jpg
Тип     : image/jpeg
Размер  : 31943 байтов
Описание: отсутствует
Url     : http://weborto.net:8080/pipermail/ortho/attachments/20071029/648d7701/attachment-0005.jpg 
----------- следущая часть -----------
Вложение не в текстовом формате было извлечено…
Имя     : 4.jpg
Тип     : image/jpeg
Размер  : 14592 байтов
Описание: отсутствует
Url     : http://weborto.net:8080/pipermail/ortho/attachments/20071029/648d7701/attachment-0006.jpg 
----------- следущая часть -----------
Вложение не в текстовом формате было извлечено…
Имя     : 5.jpg
Тип     : image/jpeg
Размер  : 15714 байтов
Описание: отсутствует
Url     : http://weborto.net:8080/pipermail/ortho/attachments/20071029/648d7701/attachment-0007.jpg 


Подробная информация о списке рассылки Ortho