[Ortho] Хондроматоз тазобедренного сустава

orthoforum на weborto.net orthoforum на weborto.net
Вт Окт 30 00:07:40 YEKT 2007


Клинический случай диагностики и лечения хондроматоза тазобедренного 
сустава с использованием артроскопии. Представлен: врач-хирург, к.м.н. 
Жиляков Андрей Викторович. Екатеринбургский Медицинский Центр

Пациентка И., 1952 года рождения. При первом поступлении пациентка 
предъявляла жалобы на резкую боль в левом тазобедренном суставе, 
возникающую при движении. Боль постепенно усиливалась в течении 
последних 2 лет. Лечилась амбулаторно у невролога по месту жительства
с диагнозом остеохондроз поясничного отдела позвоночника, корешковый 
синдром. В общих и  биохимических анализах крови изменений не 
отмечалось, ревматоидный фактор (РФ), С-реактивный белок в пределах 
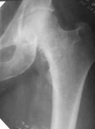
нормы. Рентгенологическое исследование. В прямой и боковой
проекции левого тазобедренного сустава отмечается уплотнение крыши 
вертлужной впадины. В мягких тканях определяются округлой формы участки 
неравномерного обызвествления.

Заключение. ДОА тазобедренного сустава. Хондроматоз слева в мягких тканях.

Клиника.
Видимых деформаций в области тазобедренного сустава нет. Ограничено 
отведение в левом тазобедренном суставе из-за болей до 20 ╨ . На 
основании клинических и лабораторных показателей был поставлен диагноз 
"Хондроматоз левого тазобедренного сустава". После стандартного 
предоперационного обследования выполнена диагностическая артроскопия
тазобедренного сустава обнаружены свободно лежащие внутрисуставные 
хондральные тела >2 см в диаметре, хондромаляция хряща головки бедренной 
кости II степени. Выполнена боковая артротомия, внутрисуставные тела 
удалены, синовиальная оболочка частично резецирована.
Послеоперационное течение без осложнений. Швы сняты в срок, заживление 
первичным натяжением. Назначен курс лечебной физкультуры. Учитывая 
наличие рентгенологических признаков коксартроза, проведен курс 
внутрисуставной вискосуплиментарной терапии препаратами 1% гиалуроновой 
кислоты 2. Осмотр через 1 месяц после оперативного лечения.
Жалоб на боль при ходьбе нет, движения в полном объеме. Рекомендовано 
динамическое наблюдение раз в полгода и контрольная рентгенография через год

Жиляков Андрей Викторович



----------- следущая часть -----------
Вложение не в текстовом формате было извлечено…
Имя     : 291.jpg
Тип     : image/jpeg
Размер  : 7331 байтов
Описание: отсутствует
Url     : http://weborto.net:8080/pipermail/ortho/attachments/20071030/ae11823a/attachment-0003.jpg 
----------- следущая часть -----------
Вложение не в текстовом формате было извлечено…
Имя     : 292.jpg
Тип     : image/jpeg
Размер  : 8614 байтов
Описание: отсутствует
Url     : http://weborto.net:8080/pipermail/ortho/attachments/20071030/ae11823a/attachment-0004.jpg 
----------- следущая часть -----------
Вложение не в текстовом формате было извлечено…
Имя     : 293.jpg
Тип     : image/jpeg
Размер  : 7070 байтов
Описание: отсутствует
Url     : http://weborto.net:8080/pipermail/ortho/attachments/20071030/ae11823a/attachment-0005.jpg 


Подробная информация о списке рассылки Ortho