[Ortho] Перелом пилона

orthoforum на weborto.net orthoforum на weborto.net
Вт Окт 30 01:33:52 YEKT 2007


Уважаемые коллеги,прошу совета.

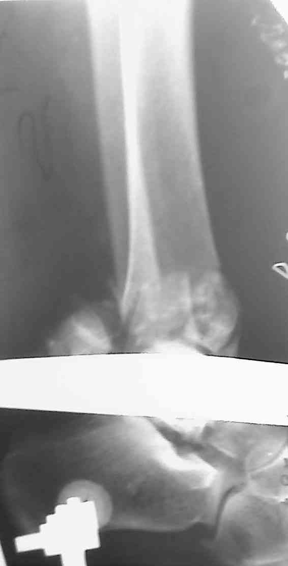
Девушка, 29 лет, падение с высоты 10 дней назад. Рентгенограммы в 
приложении, КТ пока не готово, выложу по возможности.


Предполагается ORIF м/берцовой кости 1/3 трубчатой пластиной, 
дистального конца б/берцовой - винтами + пластиной LCP.

Мнения коллег разошлись по следующим вопросам:1. Какие доступы выбрать, 
  с какого отдела начинать.

2. Облегчит ли работу дистрактор.

3. Потребуется ли костная пластика.



С уважением, Коваленко А.Н.




----------- следущая часть -----------
Вложение не в текстовом формате было извлечено…
Имя     : 200710241249_023.jpg
Тип     : image/jpeg
Размер  : 11903 байтов
Описание: отсутствует
Url     : http://weborto.net:8080/pipermail/ortho/attachments/20071030/462a8835/attachment-0002.jpg 
----------- следущая часть -----------
Вложение не в текстовом формате было извлечено…
Имя     : 200710241250_024.jpg
Тип     : image/jpeg
Размер  : 12340 байтов
Описание: отсутствует
Url     : http://weborto.net:8080/pipermail/ortho/attachments/20071030/462a8835/attachment-0003.jpg 


Подробная информация о списке рассылки Ortho