[Ortho] Костная киста первого ребра?

Александр Жужнев orthoforum на weborto.net
Ср Сен 19 00:49:13 YEKST 2007


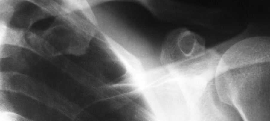
Уважаемые коллеги!Помогите определится с диагнозом и дальнейшей
тактикой ведения больного 
Пациент 42г,больным себя считает около месяца,когда появились боли при
пальпации в области левой подключичной ямки,также беспокоят боли в
области правого плечевого и ключино-акромиального
сочленений.Об-но:пастозность в левой подключичной области,боли при
пальпации там же,кожные покровы физиологической окраски.При осмотре
плечевого сустава -клиника плечелопаточного периартрита.     
Приношу извинения за качество рентгенограммы
Александр Жужнев
----------- следущая часть -----------
Вложение не в текстовом формате было извлечено…
Имя     : 100_1142.jpg
Тип     : image/jpeg
Размер  : 12833 байтов
Описание: отсутствует
Url     : http://weborto.net:8080/pipermail/ortho/attachments/20070919/7e636487/attachment.jpg 


Подробная информация о списке рассылки Ortho