[Ortho] Демонстрация пациента с переломом плечевой кости

Pavel Ivanov ortopedipa на mail.ru
Чт Сен 27 19:27:32 YEKST 2007


Уважаемые А. Ситник и Александр, здравствуйте.

Вы писали:

> - что с бугорками плечевой кости - фиксировали ли их ?(по рентгенограмме 
> создается впечатление, что большой бугорок находится под акромионом)

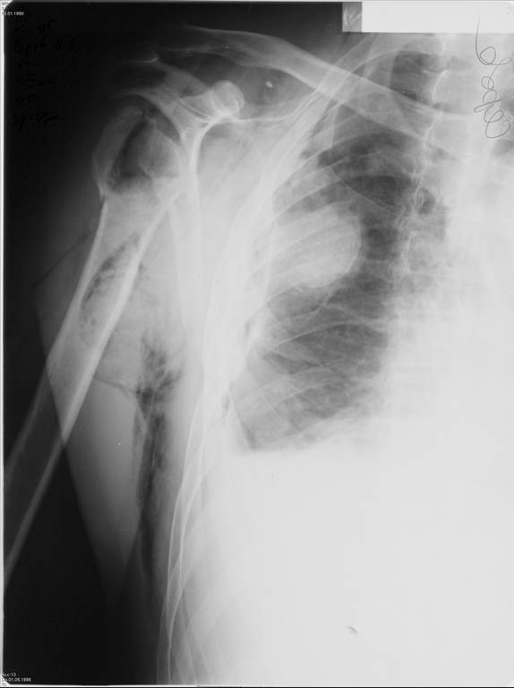
Я абсолютно согласен с Вами. Бугорки мы не выделяли и не фиксировали. Дело в том, что основная линия перелома проходит по анатомической шейке. И ниже нее кость повреждена, но существенного смещения осколков и бугорков до и во время операции не отмечено (прилагаю первичный снимок лучшего качества - рис. 1). Интраоперационно было установлено, что осколки находятся примерно на своих местах и плотно связаны с окружающими тканями. Мы не стали их выделять, мобилизировать и фиксировать, так как это все равно будет необходимо сделать при установке эндопротеза. 
В качестве дополнения: мы считаем, что спейсер не заменяет головку вместе с бугорками, а лишь временно заполняет свободное пространство в тканях.

> - что мешало использовать в качестве спейсера свою же головку?

Этот вопрос, извините, я не понял.

> - если есть технические возможности протезирования - почему только через 
> 3 месяца, а не сразу? - результаты отсроченного протезирования плеча, 
> спустя месяцы после травмы, гораздо хуже, чем в "свежих" случаях.

Технические возможности эндопротезирования у нас были. Правда не было эндопротеза. 
Еще одной причиной было наличие у больного осложненных переломов ребер. Эту патологию у нас в отделении знают неплохо, так как мы практически ежедневно сталкиваемся с осложненными переломами ребер как в составе сочетанной травмы, так и при изолированных травмах груди.  
Из протокола операции: "В плевральной полости до 500 мл старой крови, преимущественно в виде сгустков. Легкое коллабировано сгустками, находится в состоянии гиповентиляции. Отмечено высокое стояние диафрагмы (до 5-го межреберья). В S2 верхней доли легкого, в проекции переломов ребер имеется субплевральная ненапряженная гематома 3х4 см. Имеется рана висцеральной плевры размератми 1х2 см *. Через рану грудной стенки (в нее выстоят отломки ребер и при ревизии свободно проходят 3 пальца) и париетальной плевры полость плечевого сустава сообщается с плевральной полостью **… Произведено дренирование плевральной полости однопросветной силиконовой трубкой ***." 

* - именно через нее вдыхаемый воздух поступал в мягкие ткани, в том числе и параартикулярно, что видно на снимке и на результатах КТ;
** - эту рану зашить или прикрыть чем-либо не представлялось возможным, да мы и не ставили такой задачи.
*** - ожидаемый срок нахождения дренажа в плевральной полости – 5-7 суток.

После операции мы не исключали развитие пневмоторакса, плеврита, гемоторакса или эмпиемы плевры. Поэтому мы посчитали возможным заместить дефект плечевой кости спейсером с антибиотиком, а эндопротезирование выполнить в «чистых» условиях.

own> Спасибо за интересную презентацию!Можно искренне позавидовать людям 
own> занимающимся настоящей работой,и порадоваться за пациентов попавших к 
own> вам.А кое где в областных центрах больных с вывихами акромиальных концов
own> ключиц лечат консервативно,и больные с повреждениями крестообраз.связок
own> плавно инвалидизируются без операций,что уж говорить о подобных 
own> вмешательствах...
own> Александр , ЦРБ

Александр, спасибо за столь высокую оценку. Нисколько не сомневаюсь, что и нам есть чему у Вас поучиться. Для иллюстрации прилагаю сегодняшний снимок с нашего обхода в шоковом зале реанимации (рис. 2).

-- 
Best regards,

Pavel Ivanov
Sklifosovsky Clinical and Research Institute for Emergency Medicine
Polytrauma Department
3, Bolshaya Sukharevskay sq.
Moscow, 129090 Russia
skype: pavel_doc
ortopedipa на mail.ru
----------- УМЕДХЭБС ЮБУФШ -----------
Вложение не в текстовом формате было извлечено…
Имя     : 1.jpg
Тип     : image/jpeg
Размер  : 22370 байтов
Описание: отсутствует
Url     : http://weborto.net:8080/pipermail/ortho/attachments/20070927/2d955f62/attachment-0002.jpg 
----------- УМЕДХЭБС ЮБУФШ -----------
Вложение не в текстовом формате было извлечено…
Имя     : 2.jpg
Тип     : image/jpeg
Размер  : 86023 байтов
Описание: отсутствует
Url     : http://weborto.net:8080/pipermail/ortho/attachments/20070927/2d955f62/attachment-0003.jpg 


Подробная информация о списке рассылки Ortho