[Ortho] tibia

Alexey Semenisty salut.13 gmail.com
28 02:51:55 YEKST 2007


Здравствуйте, Гузак Владимир.

2007/9/27,  Вы написали:
>
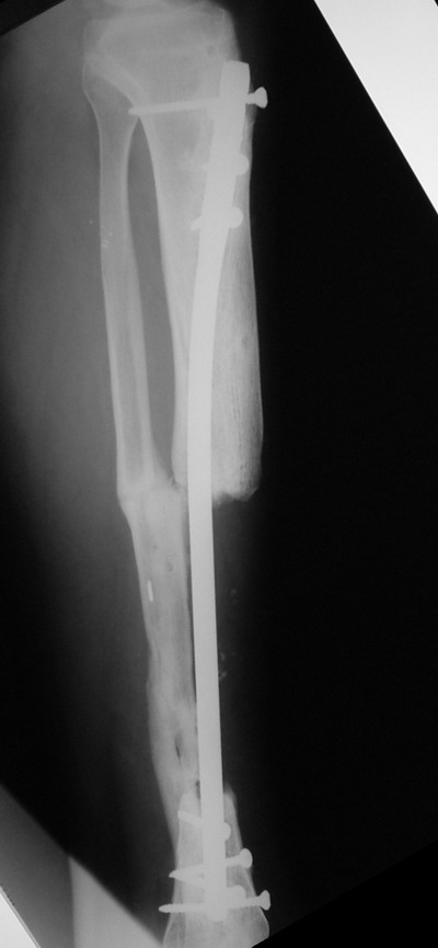
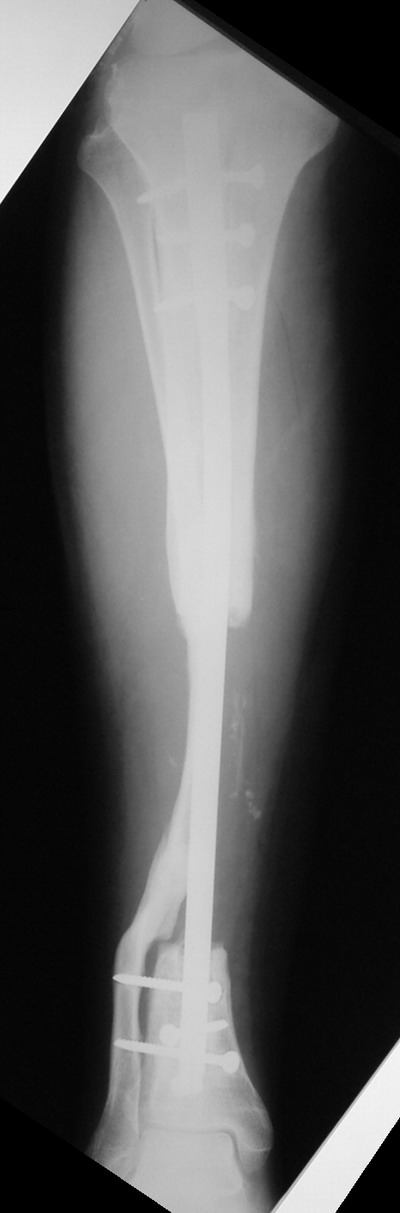
> Пациент Г.,мужчина 56 лет, Хронический посттравматический остеомиелит
> костей левой голени. *Свищевая форма( Свищ в обдасти дистального
> фрагмента по передней поверхности).* Латентное течение. Дефект
> большеберцовой кости в с/з 8 см....
> ....Планируется: Костная пластика губчастым аутотрансплантатом с целью
> создания синастоза мало- и большеберцевой костей с стабилизацией
> спице-стержневым аппаратом....
>  Хотелось бы получить Ваши советы.


Владимир, свободная костная пластика на фоне свища вряд ли оправдана. Почему
не рассматриваете вариант транспорта кости по Илизарову? Что собираетесь
делать с латентной инфекцией? Одни антибиотики не помогут, необходима
полноценная хирургическая обработка, Мы бы подумали о цементном спейсоре с
антибиотиками, бусах. После купирования инфекции переходить к замещению
дефекта: за счет удлинения концов б\б кости или тибиализации м\б. На
начальном этапе фиксация только в аппарате, в последствие для удержания
достигнутого можно перейти на фиксацию интрамедуллярным штифтом (см.
вложенные файлы)
-- 
С уважением, А.Семенистый.
ГКБ № 13, Москва.
-----------   -----------
Вложение в формате HTML было извлечено…
URL: http://weborto.net:8080/pipermail/ortho/attachments/20070928/d8110059/attachment-0001.htm 
-----------   -----------
Вложение не в текстовом формате было извлечено…
Имя     : 3.jpg
Тип     : image/jpeg
Размер  : 54576 байтов
Описание: отсутствует
Url     : http://weborto.net:8080/pipermail/ortho/attachments/20070928/d8110059/attachment-0002.jpg 
-----------   -----------
Вложение не в текстовом формате было извлечено…
Имя     : 4.jpg
Тип     : image/jpeg
Размер  : 59820 байтов
Описание: отсутствует
Url     : http://weborto.net:8080/pipermail/ortho/attachments/20070928/d8110059/attachment-0003.jpg 
-----------   -----------
Вложение не в текстовом формате было извлечено…
Имя     : 5.JPG
Тип     : image/jpeg
Размер  : 43564 байтов
Описание: отсутствует
Url     : http://weborto.net:8080/pipermail/ortho/attachments/20070928/d8110059/attachment-0001.jpeg 


Ortho