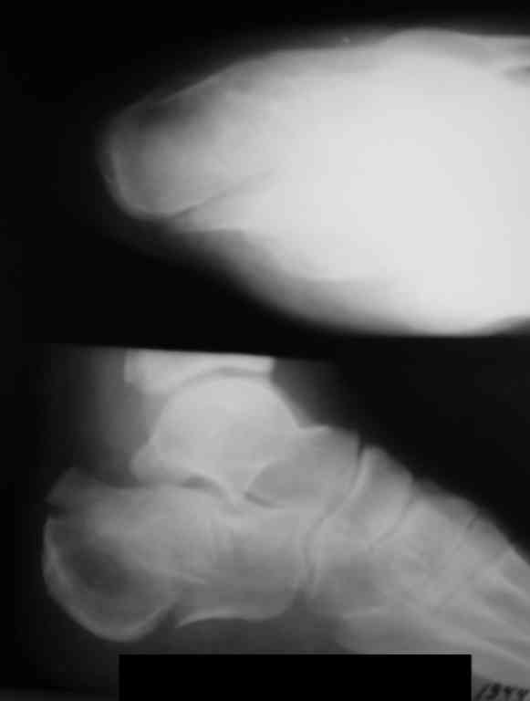
[Ortho] Перелом пяточной кости

Viktor Kost orthoforum на weborto.net
Вс Сен 30 00:33:07 YEKST 2007


Как лучше фиксировать такой перелом пятки?


Viktor Kost
----------- следущая часть -----------
Вложение не в текстовом формате было извлечено…
Имя     : 1.JPG
Тип     : image/jpeg
Размер  : 9610 байтов
Описание: отсутствует
Url     : http://weborto.net:8080/pipermail/ortho/attachments/20070930/b75bae79/attachment-0001.jpeg 


Подробная информация о списке рассылки Ortho