[Ortho] Застарелый вывых ладьевидной кости стопы

Abdurashid Turaev orthoforum на weborto.net
Сб Апр 5 10:57:30 YEKST 2008


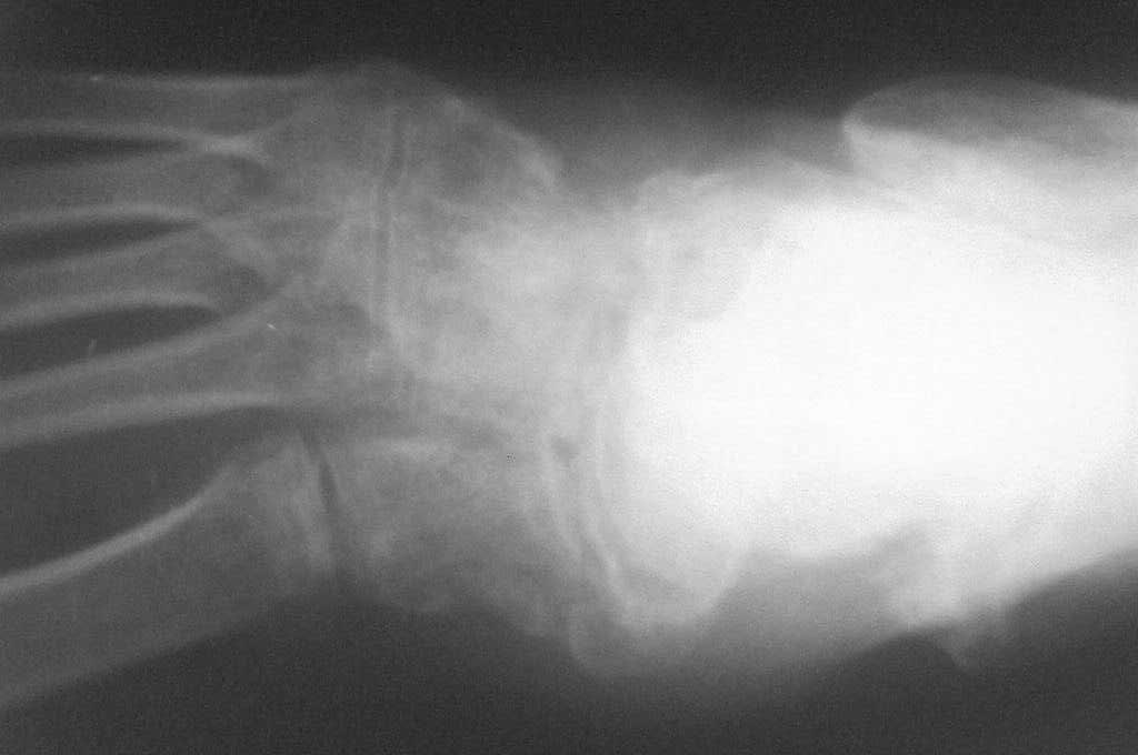
  Обратился  больной  46 лет. 3 месяца  назад  получил  травму  левой
стопы в  результате  ДТП, живет в  отдаленный  степной  зоне, лечился
у  местного  табиба. Ходит при  помощи двух  костылей, наступая на
пятку, на  передний  отд.  стопы  наступать  не  может  из-за боли,
умеренная  отечность  стопы и  деформация в  обл ладьевидной кости,
движения  в  голеностопном суставе в  польном  обьеме, в среднем
отд.  ограничены  и  болезненны.

  Уважаемые  коллеги, я  пока  не знаю? что  делать, помогите,
пожалуйста,  советами!
   С  уважением  Абдурашид.     
----------- следущая часть -----------
Вложение не в текстовом формате было извлечено…
Имя     : SP_A0176.jpg
Тип     : image/jpeg
Размер  : 27789 байтов
Описание: отсутствует
Url     : http://weborto.net:8080/pipermail/ortho/attachments/20080405/2c606727/attachment-0002.jpg 
----------- следущая часть -----------
Вложение не в текстовом формате было извлечено…
Имя     : SP_A0177.jpg
Тип     : image/jpeg
Размер  : 26241 байтов
Описание: отсутствует
Url     : http://weborto.net:8080/pipermail/ortho/attachments/20080405/2c606727/attachment-0003.jpg 


Подробная информация о списке рассылки Ortho