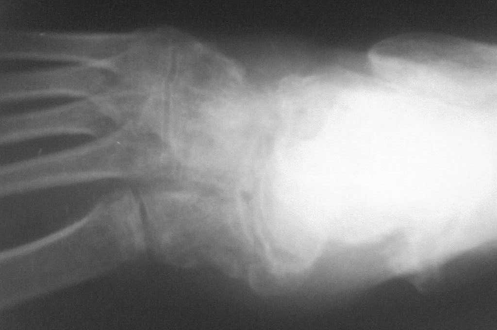
[Ortho] Застарелый вывых ладьевидной кости стопы

Abdurashid Turaev orthoforum на weborto.net
Вс Апр 6 00:43:09 YEKST 2008


 Уважаемый Андрей. Хочу  выразить свою  благодарность Вам  и  за  предыдушей  обстоятельной  комментарии  и  рекомендации( перелом  таранной  кости).
  По  данному  случаю,  оказалось  3  месяца  назад  было  произведена Р-графия в  райбольнице,  но  больной предпочел  лечится  у  табиба. Присылаю  первичные  снимки.
   С  уважением  Абдурашид.
----------- следущая часть -----------
Вложение не в текстовом формате было извлечено…
Имя     : SP_A0176.jpg
Тип     : image/jpeg
Размер  : 27789 байтов
Описание: отсутствует
Url     : http://weborto.net:8080/pipermail/ortho/attachments/20080406/e30b47f8/attachment-0002.jpg 
----------- следущая часть -----------
Вложение не в текстовом формате было извлечено…
Имя     : SP_A0177.jpg
Тип     : image/jpeg
Размер  : 26241 байтов
Описание: отсутствует
Url     : http://weborto.net:8080/pipermail/ortho/attachments/20080406/e30b47f8/attachment-0003.jpg 


Подробная информация о списке рассылки Ortho