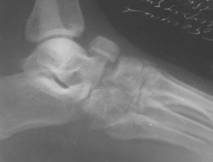
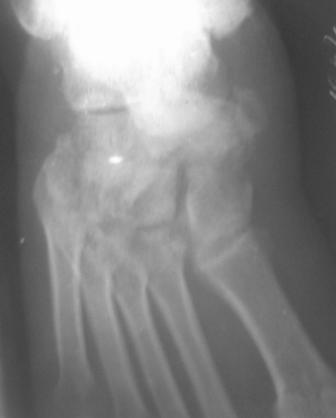
[Ortho] Застарелый вывых ладьевидной кости стопы

Abdurashid Turaev orthoforum на weborto.net
Вс Апр 6 00:43:50 YEKST 2008


Правильные снимки.
 Уважаемый Андрей. Хочу  выразить свою  благодарность Вам  и  за  предыдушей  обстоятельной  комментарии  и  рекомендации( перелом  таранной  кости).
  По  данному  случаю,  оказалось  3  месяца  назад  было  произведена Р-графия в  райбольнице,  но  больной предпочел  лечится  у  табиба. Присылаю  первичные  снимки.
   С  уважением  Абдурашид.

----------- следущая часть -----------
Вложение не в текстовом формате было извлечено…
Имя     : SP_A0174.jpg
Тип     : image/jpeg
Размер  : 8530 байтов
Описание: отсутствует
Url     : http://weborto.net:8080/pipermail/ortho/attachments/20080406/a7ca8d44/attachment.jpg 
----------- следущая часть -----------
Вложение не в текстовом формате было извлечено…
Имя     : SP_A0175.jpg
Тип     : image/jpeg
Размер  : 7507 байтов
Описание: отсутствует
Url     : http://weborto.net:8080/pipermail/ortho/attachments/20080406/a7ca8d44/attachment-0001.jpg 


Подробная информация о списке рассылки Ortho