[Ortho] Анкилоз локтевого сустава у ребенка 13лет

Ihor orthoforum на weborto.net
Пн Апр 7 01:48:27 YEKST 2008


Здравствуйте, уважаемые коллеги.

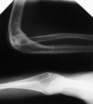
Обратился пациент 13 лет с анкилозом левого локтевого сустава, после остеомиелита.
Несколько лет тому назад больному пытались сохранить сустав в одой
клинике. Из документов известно, что резецировали головку лучевой
кости и сформировали блок плечевой кости.

На сегодняшний день: локтевой сустав в положении сгибания 80гр.
просупинационные движения 10/0/10. Пациент не может самостоятельно надеть ботинки и
застегнуть брюки .

Я планирую выполнить коррегирующую разгибательную остеотомию плечевой кости в н/3


Посоветуйте, пожалуйста:

1. Какое положение конечности будет максимально выгодным для пациента
на сегодняшний день и для дальнейшего протезирования (в перспективе)

2.Если остеотомия, то на каком уровне, метод фиксации.

Огромное Спасибо за Ваше внимание.
С уважением. IHOR.
----------- следущая часть -----------
Вложение не в текстовом формате было извлечено…
Имя     : IMG_0916.jpg
Тип     : image/jpeg
Размер  : 17627 байтов
Описание: отсутствует
Url     : http://weborto.net:8080/pipermail/ortho/attachments/20080407/5862624f/attachment-0001.jpg 


Подробная информация о списке рассылки Ortho