[Ortho] Тактика лечения осложненного перелома бедра

Коваленко А.Н. orthoforum на weborto.net
Пт Апр 11 02:23:36 YEKST 2008


По просьбе коллег выношу на обсужение следущий случай лечения перелома бедра,

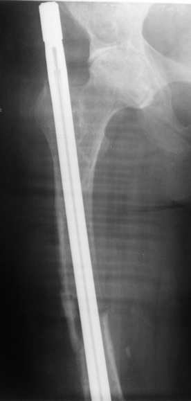
о дальнейшем лечении больной 48 лет с РПА. Анамнез: В 2005 году в ЦРБ - остеосинтез перелома
бедра пластиной. В 2007 г. воспаление в ср. трети бедра и удаление пластины. Через 2 мес. -
рефрактура и фиксация гвоздем "фикшн". Через 2 мес. после синтеза - свищ, "функционирующий"
по настоящее время. Что делать? Если бы вопрос задавался лично мне, то я бы предложил удаление
существующего фиксатора, санацию костномозгового канала, установку спейсера на тонком
сплошном титановом гвозде с последущей заменой на полноценный сплошной титановый гвоздь.
Правда, что делать с отверстием в колено, вернее как провести санацию так чтобы
минимизировать риск распространения инфекции в коленный сустав, представляется не очень
четко. Необходимую для обсуждения дополнительную информацию предоставлю по мере
возможности. Спасибо.
Коваленко А.Н.
----------- следущая часть -----------
Вложение не в текстовом формате было извлечено…
Имя     : default (1).jpg
Тип     : image/jpeg
Размер  : 8863 байтов
Описание: отсутствует
Url     : http://weborto.net:8080/pipermail/ortho/attachments/20080411/fd7ea0b5/attachment-0002.jpg 
----------- следущая часть -----------
Вложение не в текстовом формате было извлечено…
Имя     : default (2).jpg
Тип     : image/jpeg
Размер  : 10453 байтов
Описание: отсутствует
Url     : http://weborto.net:8080/pipermail/ortho/attachments/20080411/fd7ea0b5/attachment-0003.jpg 
----------- следущая часть -----------
Вложение не в текстовом формате было извлечено…
Имя     : Фикшн (2).JPG
Тип     : image/jpeg
Размер  : 11792 байтов
Описание: отсутствует
Url     : http://weborto.net:8080/pipermail/ortho/attachments/20080411/fd7ea0b5/attachment-0001.jpeg 


Подробная информация о списке рассылки Ortho