[Ortho] Нагноение после интрамедуллярного остеосинтеза

Александр Ситник orthoforum на weborto.net
Сб Апр 19 23:46:43 YEKST 2008


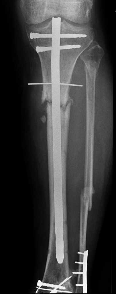
У пациента 55 лет после открытого перелома костей голени остро развилось глубокое нагноение
верхней трети голени.

Травма в октябре 2007 года открытый перелом 3 ст - ПХО, наложение стержневого аппарата,
остеосинтез ложыжек при поступлении. После заживления ран через 10 дней - закрытый
интрамедуллярный остеосинтез без рассверливания. Применялась отклоняющая спица,
которая оставлена подкожно для контроля положения проксимального фрагмента. Певичное
заживление ран. Динамизация остеосинтеза через 1,5 месяцев, однако в динамике
рентгенологически - признаки формирования ложного сустава. Последние 2 месяца ходьба с
полной нагрузкой без клинических жалоб. 5 дней назад без видимой причины подъем
температуры, гиперемия по внутренней поверхности в/3 голени, формирование абсцесса. При
вскрытии 2 дня назад около 80 мл сливкообразного гноя. Спица удалена (видимо она и была
причиной инфицирования), винты нестабильны - также удалены. Гвоздь оставили на месте
(пока). Дном гнойной раны явлется кость, зонд доходит до гвоздя. в настоящее вроем рана
дренируется выпускниками, количество отделяемого уменьшается. Вопрос по дальнейшему
лечению. Интрамедуллярная фиксация оказалась нестабильной, поэтому рассматриваем 2
варианта: 1. Удаление стержня - переход на ВКДО по Илизарову с промывным дренированием
канала. 2. То же, но вместо промывания - интрамедуллярный тонкий стержень с антибиотиком на
цементе. Просьба откликнуться имеющих личный опыт лечения таких осложнений относительно
нюансов, и возможно других вариантов.

  С уважением А. Ситник
----------- следущая часть -----------
Вложение не в текстовом формате было извлечено…
Имя     : Bobr 2.jpg
Тип     : image/jpeg
Размер  : 18257 байтов
Описание: отсутствует
Url     : http://weborto.net:8080/pipermail/ortho/attachments/20080419/2504f811/attachment-0001.jpg 


Подробная информация о списке рассылки Ortho