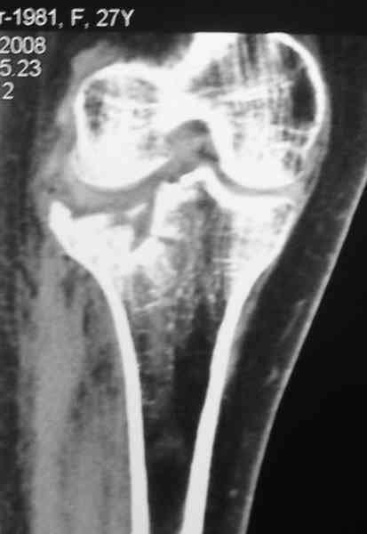
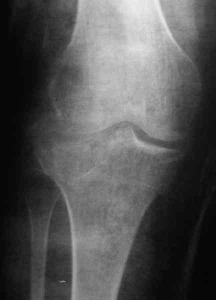
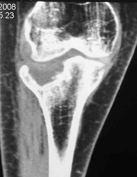
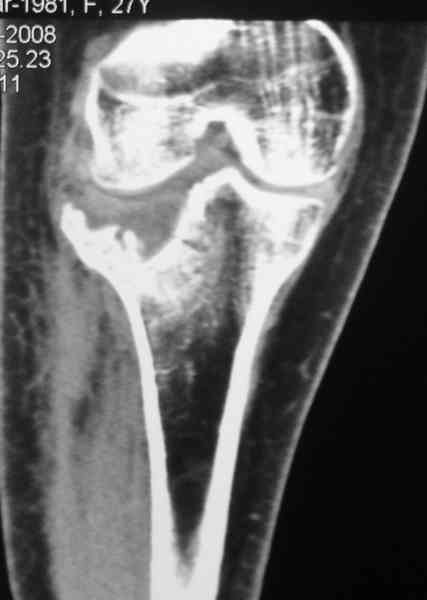
[Ortho] Застарелый перелом 41С3

А..П.Ким orthoforum на weborto.net
Ср Апр 23 00:39:08 YEKST 2008


Уважаемый Абдурашид. Если нет противопоказаний , то из оперативных
способов, я бы рекомендовал следующие: Полное замещение наружного
мыщелка аллотрансплантатом либо открытая репозиция с элевацией и
замещение дефекта ауто или аллокостью. В Ваших условиях , я бы
рекомендовал второй способ. Во-время элевации необходимо разъединить
фрагменты со стороны сустава ( надсечь скальпелем по линиям перелома,
а затем тонким остеотомом их разъединить. При помощи долота произвести
неполную остеотомию ( захватите не менее 1,5 - 2 см губчатой кости и
поднять фрагменты, визуально отрепонировать и фиксировать 2-3 спицами.
Дефект заместить костным ауто или аллотрансплантатом. Окончательная
стабилизация пластиной ( лучше с угловой стабильностью, либо АВФ -
позволит спокойно устранить угловую деформацию.
Недавно поступила больная через 1,5- 2 месяца.
Удачи.
А..П.Ким

----------- следущая часть -----------
Вложение не в текстовом формате было извлечено…
Имя     : image001.jpg
Тип     : image/jpeg
Размер  : 6580 байтов
Описание: отсутствует
Url     : http://weborto.net:8080/pipermail/ortho/attachments/20080423/b5256268/attachment-0008.jpg 
----------- следущая часть -----------
Вложение не в текстовом формате было извлечено…
Имя     : image002.jpg
Тип     : image/jpeg
Размер  : 6135 байтов
Описание: отсутствует
Url     : http://weborto.net:8080/pipermail/ortho/attachments/20080423/b5256268/attachment-0009.jpg 
----------- следущая часть -----------
Вложение не в текстовом формате было извлечено…
Имя     : image003.jpg
Тип     : image/jpeg
Размер  : 11974 байтов
Описание: отсутствует
Url     : http://weborto.net:8080/pipermail/ortho/attachments/20080423/b5256268/attachment-0010.jpg 
----------- следущая часть -----------
Вложение не в текстовом формате было извлечено…
Имя     : image004.jpg
Тип     : image/jpeg
Размер  : 13956 байтов
Описание: отсутствует
Url     : http://weborto.net:8080/pipermail/ortho/attachments/20080423/b5256268/attachment-0011.jpg 
----------- следущая часть -----------
Вложение не в текстовом формате было извлечено…
Имя     : image005.jpg
Тип     : image/jpeg
Размер  : 13229 байтов
Описание: отсутствует
Url     : http://weborto.net:8080/pipermail/ortho/attachments/20080423/b5256268/attachment-0012.jpg 
----------- следущая часть -----------
Вложение не в текстовом формате было извлечено…
Имя     : image006.jpg
Тип     : image/jpeg
Размер  : 12536 байтов
Описание: отсутствует
Url     : http://weborto.net:8080/pipermail/ortho/attachments/20080423/b5256268/attachment-0013.jpg 
----------- следущая часть -----------
Вложение не в текстовом формате было извлечено…
Имя     : image007.jpg
Тип     : image/jpeg
Размер  : 6181 байтов
Описание: отсутствует
Url     : http://weborto.net:8080/pipermail/ortho/attachments/20080423/b5256268/attachment-0014.jpg 
----------- следущая часть -----------
Вложение не в текстовом формате было извлечено…
Имя     : image008.jpg
Тип     : image/jpeg
Размер  : 5742 байтов
Описание: отсутствует
Url     : http://weborto.net:8080/pipermail/ortho/attachments/20080423/b5256268/attachment-0015.jpg 


Подробная информация о списке рассылки Ortho