[Ortho] Открытый перелом 43.С3.3

Abdurashid Turaev orthoforum на weborto.net
Пт Апр 25 01:30:56 YEKST 2008


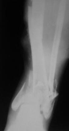
 Больной 41г переведен из ЦРБ, травма в  результате ДТП- 5 дней
 назад, произведена ПХО  раны, наложена  гипсовая  повязка.
  Об-но; начиная  с  с/з  голени  продольно - почти циркулярная рана, с
признаками инфицирования - покраснение, отечность, усиление  боли,
местная  т-ра и  мутные  кровянистые выделения из  раны, и
выраженная деформация голени. В отд нашей коллегой в  экстренном
порядке в  задней  поверхности голени щвы  распушены, выпушено около
50мл мутная  гематома, АВФ, умеренная дистракция, антибиотики, и т.д.

 Наш план; после устранения воспалительных процессов, перемонтаж
аппарата, репозиция оставшихся смешений спицами с  упорной
плошадкой и  стабилизация аппарата, дальше  по  обстановке.
  Уважаемые коллеги! Какие  будут мнения и  дополнения  по  поводу
 тактики  лечения или  критические  замечания?
  С уважением Абдурашид.  

----------- следущая часть -----------
Вложение не в текстовом формате было извлечено…
Имя     : SP_A0193.jpg
Тип     : image/jpeg
Размер  : 19284 байтов
Описание: отсутствует
Url     : http://weborto.net:8080/pipermail/ortho/attachments/20080425/e0734ea9/attachment-0004.jpg 
----------- следущая часть -----------
Вложение не в текстовом формате было извлечено…
Имя     : SP_A0194.jpg
Тип     : image/jpeg
Размер  : 20209 байтов
Описание: отсутствует
Url     : http://weborto.net:8080/pipermail/ortho/attachments/20080425/e0734ea9/attachment-0005.jpg 
----------- следущая часть -----------
Вложение не в текстовом формате было извлечено…
Имя     : SP_A0195.jpg
Тип     : image/jpeg
Размер  : 5062 байтов
Описание: отсутствует
Url     : http://weborto.net:8080/pipermail/ortho/attachments/20080425/e0734ea9/attachment-0006.jpg 
----------- следущая часть -----------
Вложение не в текстовом формате было извлечено…
Имя     : SP_A0196.jpg
Тип     : image/jpeg
Размер  : 6380 байтов
Описание: отсутствует
Url     : http://weborto.net:8080/pipermail/ortho/attachments/20080425/e0734ea9/attachment-0007.jpg 


Подробная информация о списке рассылки Ortho