[Ortho] Застарелое повреждение голеностопа

Mikhail Smokov orthoforum на weborto.net
Пт Авг 15 01:19:06 YEKST 2008


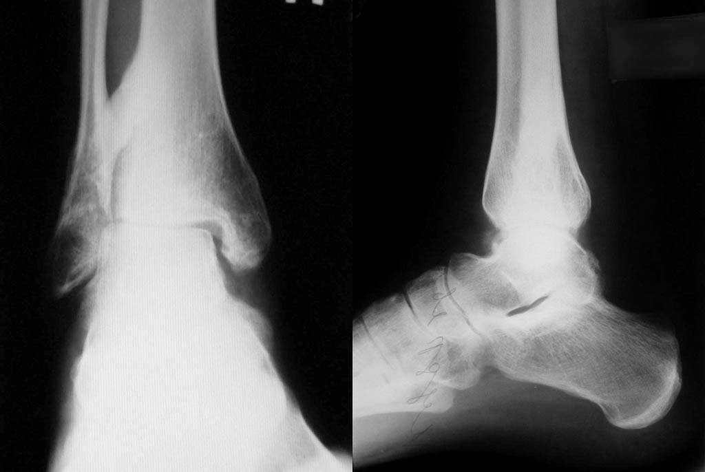
Приложил последние снимки г/стопа.
Mikhail Smokov
----------- следущая часть -----------
Вложение не в текстовом формате было извлечено…
Имя     : pic31.jpg
Тип     : image/jpeg
Размер  : 38003 байтов
Описание: отсутствует
Url     : http://weborto.net:8080/pipermail/ortho/attachments/20080815/244f72ad/attachment-0001.jpg 


Подробная информация о списке рассылки Ortho