[Ortho] tilt fx

Dan Shlatterer orthoforum на weborto.net
Чт Авг 21 10:18:22 YEKST 2008


hello,
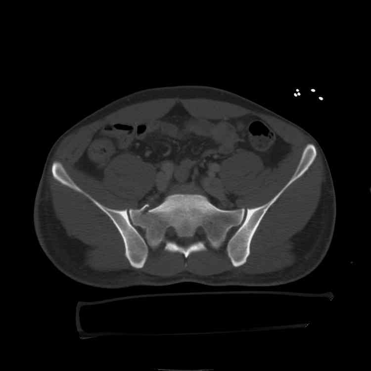
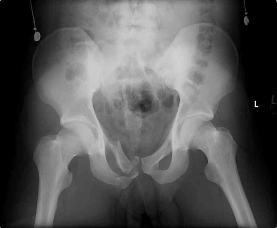
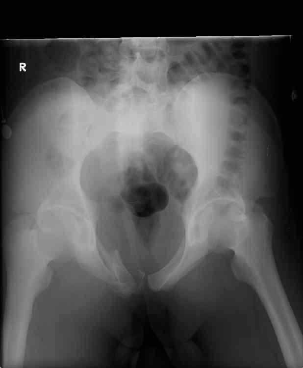
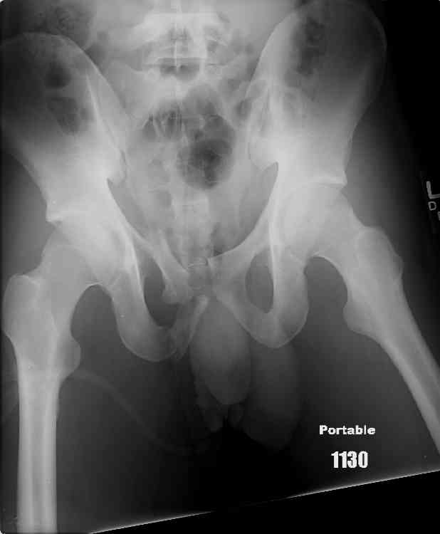
this is a healthy 22yo male. peds vs auto. 

no other injuries. has anyone treated these non-operatively? thanks.
dan

Daniel Schlatterer, DO, MS
Atlanta Medical Center
303 Parkway Dr. NE
Atlanta, GA 30312
404-265-157


----------- УМЕДХЭБС ЮБУФШ -----------
Вложение не в текстовом формате было извлечено…
Имя     : slide0002_image009.jpg
Тип     : image/jpeg
Размер  : 20504 байтов
Описание: отсутствует
Url     : http://weborto.net:8080/pipermail/ortho/attachments/20080821/32c196d9/attachment-0005.jpg 
----------- УМЕДХЭБС ЮБУФШ -----------
Вложение не в текстовом формате было извлечено…
Имя     : slide0001_image001.jpg
Тип     : image/jpeg
Размер  : 29516 байтов
Описание: отсутствует
Url     : http://weborto.net:8080/pipermail/ortho/attachments/20080821/32c196d9/attachment-0006.jpg 
----------- УМЕДХЭБС ЮБУФШ -----------
Вложение не в текстовом формате было извлечено…
Имя     : slide0001_image003.jpg
Тип     : image/jpeg
Размер  : 16957 байтов
Описание: отсутствует
Url     : http://weborto.net:8080/pipermail/ortho/attachments/20080821/32c196d9/attachment-0007.jpg 
----------- УМЕДХЭБС ЮБУФШ -----------
Вложение не в текстовом формате было извлечено…
Имя     : slide0002_image005.jpg
Тип     : image/jpeg
Размер  : 14670 байтов
Описание: отсутствует
Url     : http://weborto.net:8080/pipermail/ortho/attachments/20080821/32c196d9/attachment-0008.jpg 
----------- УМЕДХЭБС ЮБУФШ -----------
Вложение не в текстовом формате было извлечено…
Имя     : slide0002_image007.jpg
Тип     : image/jpeg
Размер  : 16601 байтов
Описание: отсутствует
Url     : http://weborto.net:8080/pipermail/ortho/attachments/20080821/32c196d9/attachment-0009.jpg 


Подробная информация о списке рассылки Ortho