[Ortho] Lost 1/2 of femur

Dr. Magdy Anwar orthoforum на weborto.net
Сб Авг 23 20:31:48 YEKST 2008


Sallam
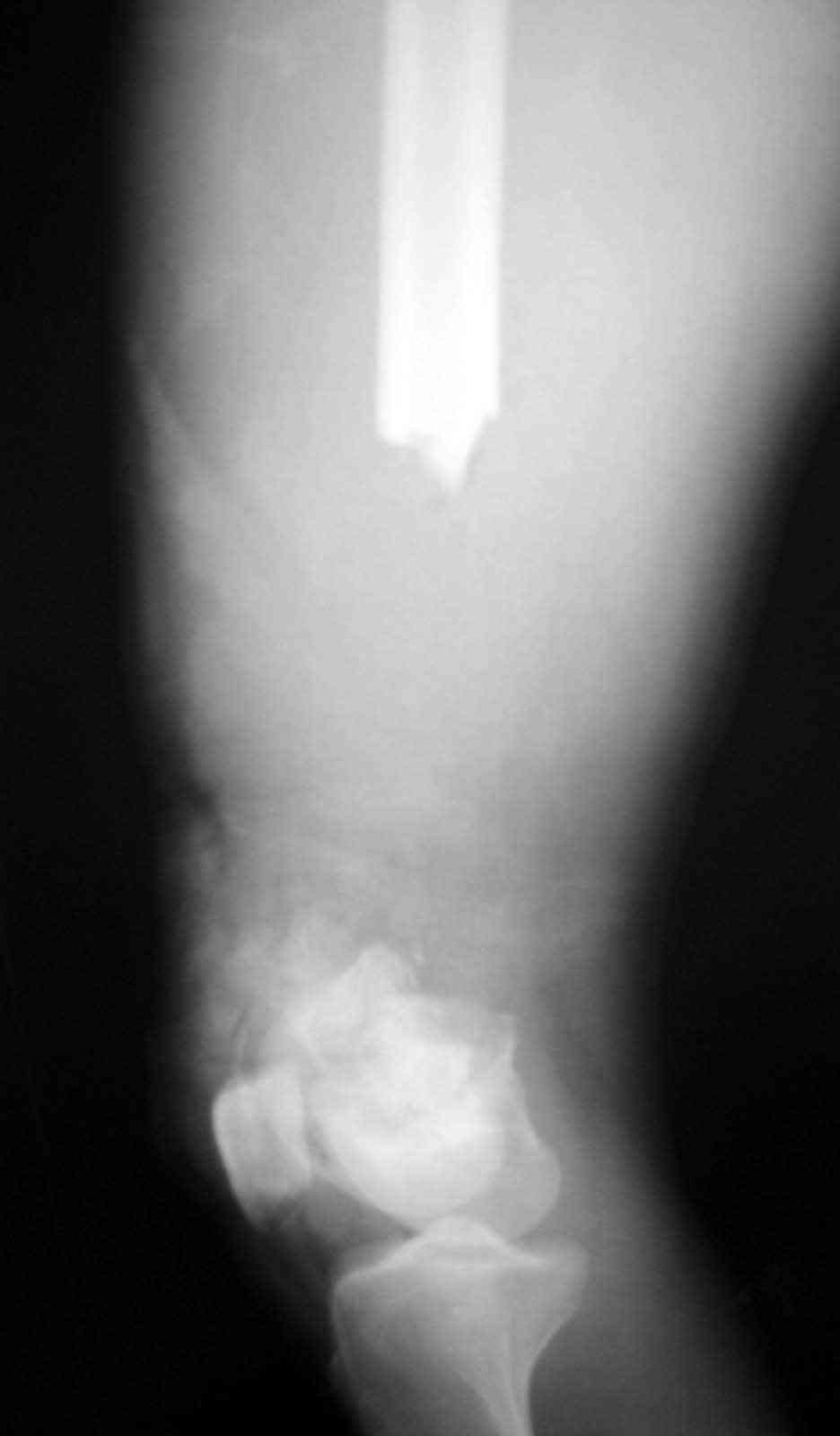
 18 ys. old boy with motorcycle accident lost the distal 1/2 of his femur at the scene of the accident.

Debridment and ex. fix done immediately.
full details and x-rays  are here:
http://www.madinaortho.com/casweek/lostfemur/lost.htm
 
what is ur suggestions?



Dr. Magdy Anwar
Orthopedic Surgeon
King Fahd Hospital - Madinah Munawrah -Saudi Arabia

----------- следущая часть -----------
Вложение не в текстовом формате было извлечено…
Имя     : IMG0200.JPG
Тип     : image/jpeg
Размер  : 38247 байтов
Описание: отсутствует
Url     : http://weborto.net:8080/pipermail/ortho/attachments/20080823/a424a5e9/attachment-0002.jpeg 
----------- следущая часть -----------
Вложение не в текстовом формате было извлечено…
Имя     : IMG0201.JPG
Тип     : image/jpeg
Размер  : 29995 байтов
Описание: отсутствует
Url     : http://weborto.net:8080/pipermail/ortho/attachments/20080823/a424a5e9/attachment-0003.jpeg 


Подробная информация о списке рассылки Ortho