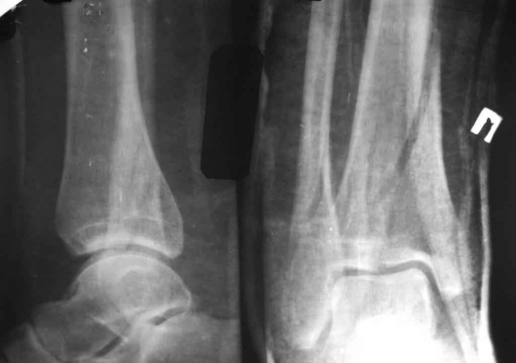
[Ortho] перелом пилона. тактика лечения

Андрей Рубленко orthoforum на weborto.net
Пт Авг 29 19:59:37 YEKST 2008


прошу прощения за то, что забыл приложить снимки
 Андрей Рубленко
----------- следущая часть -----------
Вложение не в текстовом формате было извлечено…
Имя     : IMG_3040_12.jpg
Тип     : image/jpeg
Размер  : 64213 байтов
Описание: отсутствует
Url     : http://weborto.net:8080/pipermail/ortho/attachments/20080829/3568f1c0/attachment-0002.jpg 
----------- следущая часть -----------
Вложение не в текстовом формате было извлечено…
Имя     : IMG_3044_12.jpg
Тип     : image/jpeg
Размер  : 72920 байтов
Описание: отсутствует
Url     : http://weborto.net:8080/pipermail/ortho/attachments/20080829/3568f1c0/attachment-0003.jpg 


Подробная информация о списке рассылки Ortho