[Ortho] Ложный сустав большеберцовой кости

Магданов Денис orthoforum на weborto.net
Вс Авг 31 22:01:43 YEKST 2008


Здравствуйте, уважаемые коллеги. Хотелось бы услышать ваше мнение по следующему случаю:

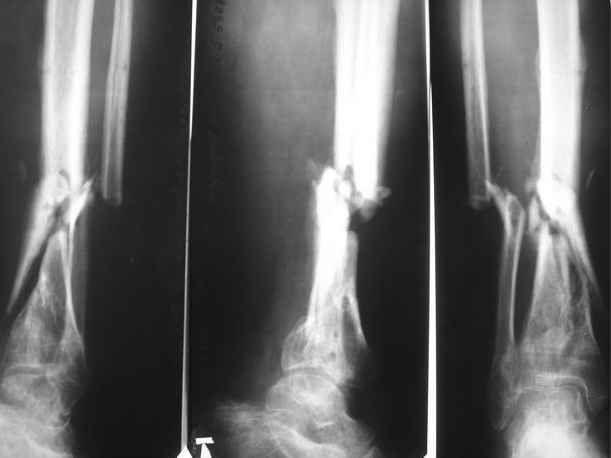
Пациент 35 лет, травма в декабре 2007 г. Открытый оскольчатый перелом костей левой голени в нижней трети со смещением отломков. Травма в результате ДТП. В этот же день выполнена ПХО открытого перелома костей левой голени, скелетное вытяжение. На 3 день ЧКДО с учетом повреждения мягких тканей. Посттравматический период осложнился обширным циркулярным некрозом кожи. Через этапные некроэктомии, и свободную кожную пластику раны зажили вторичным натяжением. По заживлении мягких тканей перемонтаж аппарата. Выписан на амбулаторное лечение. В августе 2008 г. из за выраженного воспаления в местах выхода спиц, аппарат демонтирован. Явления воспаления купированы. Данных за остеомиелит не получено. На данный момент имеем: ложный сустав левой большеберцовой кости в нижней трети. Укорочение левой нижней конечности на 3 см. Комбинированная контрактура левого голеностопного сустава. Клинически – патологическая подвижность в области перелома. Лабораторные показатели в пределах нормы. Местно воспалительных явлений мягких тканей нет.
Планы:
1. Вариант № 1(основной) – в два этапа. 1. Наложить спице-стержневой аппарат, за 5 – 7 – 10 дней устранить смещение отломков (восстановить ось большеберцовой кости). 2 этап закрытый блокированный остеосинтез цельным гвоздем диметра 10 – 11 мм для низких переломов голени (Эксперт, Мастер…). Сначала в статику на 2-3 недели, затем динамизацию.
Вопрос:
1.Достаточна ли длина дистального отломка для жесткой фиксации на гвозде ( как минимум на 3 винтах)?
2. Как будут проходить гибкие риммеры через область ложного сустава при рассверливании костно – мозгового канала?
3. Возможно ли выполнить закрытый блокируемый остеосинтез без предварительного наложения КДА?
4. Где могут быть технические трудности?

Вариант №2 КДА по Илизарову, работать в аппарате, устранить смещение, компрессия, дистракция.
Вариант № 3. КДА по Илизарову , + костная пластика из крыла подвздошной кости кортикально -губчатым трансплантатом, или из малоберцовой кости.
К сообществу за советом! С уважением Д. Магданов.
----------- УМЕДХЭБС ЮБУФШ -----------
Вложение не в текстовом формате было извлечено…
Имя     : 001.jpg
Тип     : image/jpeg
Размер  : 25712 байтов
Описание: отсутствует
Url     : http://weborto.net:8080/pipermail/ortho/attachments/20080831/c91e4b5e/attachment-0001.jpg 


Подробная информация о списке рассылки Ortho