[Ortho] Acetabular fracture

Yordan Andonov orthoforum на weborto.net
Вт Дек 2 04:09:14 YEKT 2008


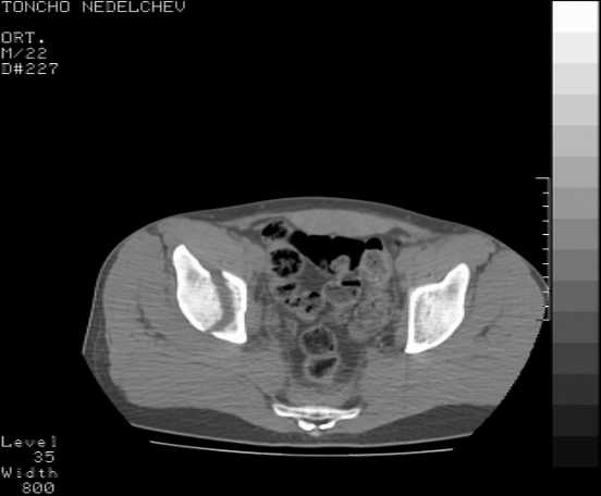
Here are some more axial images. What is your opinion as for the timing of the operative treatment?


Best regards,

Yordan Andonov
----------- следущая часть -----------
Вложение не в текстовом формате было извлечено…
Имя     : 8603035286_0_0_23.jpg
Тип     : image/jpeg
Размер  : 12487 байтов
Описание: отсутствует
Url     : http://weborto.net:8080/pipermail/ortho/attachments/20081202/d128d201/attachment-0008.jpg 
----------- следущая часть -----------
Вложение не в текстовом формате было извлечено…
Имя     : 8603035286_0_0_27.jpg
Тип     : image/jpeg
Размер  : 15258 байтов
Описание: отсутствует
Url     : http://weborto.net:8080/pipermail/ortho/attachments/20081202/d128d201/attachment-0009.jpg 
----------- следущая часть -----------
Вложение не в текстовом формате было извлечено…
Имя     : 8603035286_0_0_28.jpg
Тип     : image/jpeg
Размер  : 13712 байтов
Описание: отсутствует
Url     : http://weborto.net:8080/pipermail/ortho/attachments/20081202/d128d201/attachment-0010.jpg 
----------- следущая часть -----------
Вложение не в текстовом формате было извлечено…
Имя     : 8603035286_0_0_29.jpg
Тип     : image/jpeg
Размер  : 14209 байтов
Описание: отсутствует
Url     : http://weborto.net:8080/pipermail/ortho/attachments/20081202/d128d201/attachment-0011.jpg 
----------- следущая часть -----------
Вложение не в текстовом формате было извлечено…
Имя     : 8603035286_0_0_30.jpg
Тип     : image/jpeg
Размер  : 13615 байтов
Описание: отсутствует
Url     : http://weborto.net:8080/pipermail/ortho/attachments/20081202/d128d201/attachment-0012.jpg 
----------- следущая часть -----------
Вложение не в текстовом формате было извлечено…
Имя     : 8603035286_0_0_33.jpg
Тип     : image/jpeg
Размер  : 15583 байтов
Описание: отсутствует
Url     : http://weborto.net:8080/pipermail/ortho/attachments/20081202/d128d201/attachment-0013.jpg 
----------- следущая часть -----------
Вложение не в текстовом формате было извлечено…
Имя     : 8603035286_0_0_36.jpg
Тип     : image/jpeg
Размер  : 18537 байтов
Описание: отсутствует
Url     : http://weborto.net:8080/pipermail/ortho/attachments/20081202/d128d201/attachment-0014.jpg 
----------- следущая часть -----------
Вложение не в текстовом формате было извлечено…
Имя     : 8603035286_0_0_37.jpg
Тип     : image/jpeg
Размер  : 18442 байтов
Описание: отсутствует
Url     : http://weborto.net:8080/pipermail/ortho/attachments/20081202/d128d201/attachment-0015.jpg 


Подробная информация о списке рассылки Ortho