[Ortho] Семинар по остесинтезу таза с демонстрацией операции

Атом Тер-Григорян orthoforum на weborto.net
Ср Дек 3 09:08:13 YEKT 2008


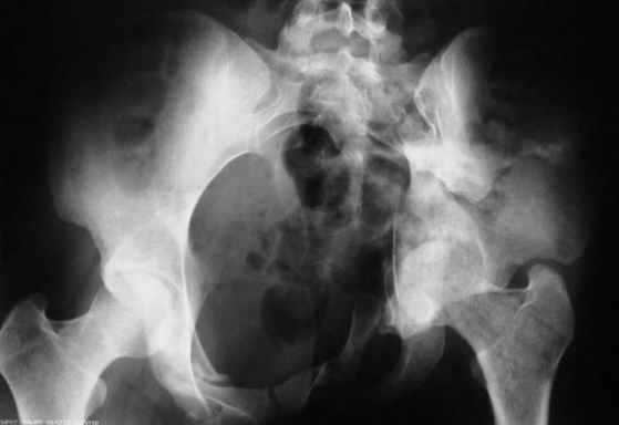
Рентгенограмма до операции
Перелом. Внутритазовый обзор.
Остеосинтез подвздошной кости
Укладка тазовой пластины "matta"
Операционная. Оперирует д.м.н. проф. Казанцев А.Б.
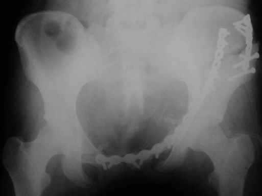
Рентгенограмма после операции. Изв. за качество. На днях переделаем.


Атом Тер-Григорян

----------- УМЕДХЭБС ЮБУФШ -----------
Вложение не в текстовом формате было извлечено…
Имя     : DSC03554_resize.jpg
Тип     : image/jpeg
Размер  : 6332 байтов
Описание: отсутствует
Url     : http://weborto.net:8080/pipermail/ortho/attachments/20081203/82c3d071/attachment-0006.jpg 
----------- УМЕДХЭБС ЮБУФШ -----------
Вложение не в текстовом формате было извлечено…
Имя     : DSC03237_resize_resize.jpg
Тип     : image/jpeg
Размер  : 11142 байтов
Описание: отсутствует
Url     : http://weborto.net:8080/pipermail/ortho/attachments/20081203/82c3d071/attachment-0007.jpg 
----------- УМЕДХЭБС ЮБУФШ -----------
Вложение не в текстовом формате было извлечено…
Имя     : DSC03242.jpg
Тип     : image/jpeg
Размер  : 46877 байтов
Описание: отсутствует
Url     : http://weborto.net:8080/pipermail/ortho/attachments/20081203/82c3d071/attachment-0008.jpg 
----------- УМЕДХЭБС ЮБУФШ -----------
Вложение не в текстовом формате было извлечено…
Имя     : DSC03294_resize.jpg
Тип     : image/jpeg
Размер  : 65486 байтов
Описание: отсутствует
Url     : http://weborto.net:8080/pipermail/ortho/attachments/20081203/82c3d071/attachment-0009.jpg 
----------- УМЕДХЭБС ЮБУФШ -----------
Вложение не в текстовом формате было извлечено…
Имя     : DSC03307_resize.jpg
Тип     : image/jpeg
Размер  : 61970 байтов
Описание: отсутствует
Url     : http://weborto.net:8080/pipermail/ortho/attachments/20081203/82c3d071/attachment-0010.jpg 
----------- УМЕДХЭБС ЮБУФШ -----------
Вложение не в текстовом формате было извлечено…
Имя     : DSC03331_resize.jpg
Тип     : image/jpeg
Размер  : 64604 байтов
Описание: отсутствует
Url     : http://weborto.net:8080/pipermail/ortho/attachments/20081203/82c3d071/attachment-0011.jpg 


Подробная информация о списке рассылки Ortho