[Ortho] Несращение плеча, деформация головки

Андрей Богаткин orthoforum на weborto.net
Ср Дек 3 22:54:41 YEKT 2008


Здравствуйте уважаемые коллеги.
Помогите, пожалуйста, определиться с тактикой.
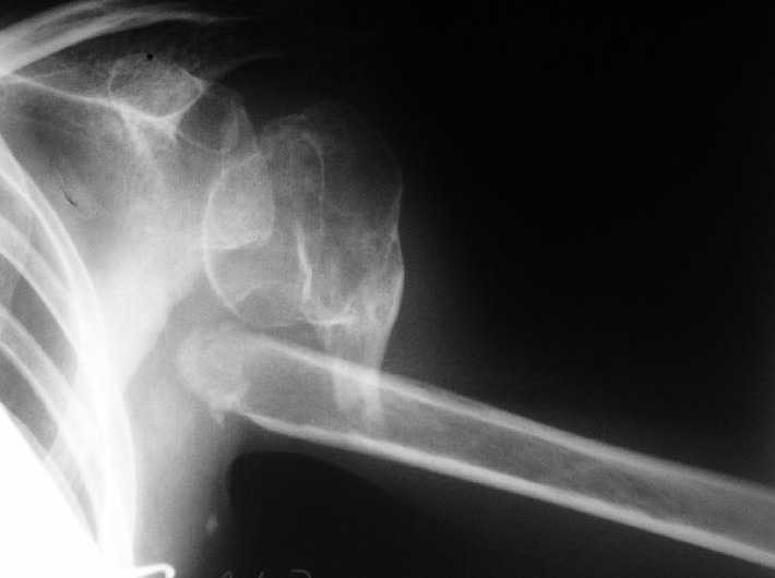
Больная 40 лет, множественная травма в июне 2007 года. Лечилась в городской больнице.
Повреждение проксимального отдела плеча вели  консервативно в гипсовой
повязке. В настоящее время больную беспокоят боли в области плечевого
сустава, слабость верхней конечности. Амплитуда движений в плечевом
суставе в пределах 30-40 градусов. Пациентка хотела бы увеличить объем
движений и силу.    
Движения сейчас в основном за счет ложного сустава. Варианты -
остеосинтез, артролиз, эндопротезирование, оставить как есть. Как-то
ни один однозначно не привлекает.
Андрей Богаткин

----------- следущая часть -----------
Вложение не в текстовом формате было извлечено…
Имя     : 1.JPE
Тип     : image/jpeg
Размер  : 16859 байтов
Описание: отсутствует
Url     : http://weborto.net:8080/pipermail/ortho/attachments/20081203/25c2e989/attachment-0003.jpeg 
----------- следущая часть -----------
Вложение не в текстовом формате было извлечено…
Имя     : 2.JPE
Тип     : image/jpeg
Размер  : 13237 байтов
Описание: отсутствует
Url     : http://weborto.net:8080/pipermail/ortho/attachments/20081203/25c2e989/attachment-0004.jpeg 
----------- следущая часть -----------
Вложение не в текстовом формате было извлечено…
Имя     : 3.JPE
Тип     : image/jpeg
Размер  : 13650 байтов
Описание: отсутствует
Url     : http://weborto.net:8080/pipermail/ortho/attachments/20081203/25c2e989/attachment-0005.jpeg 


Подробная информация о списке рассылки Ortho