[Ortho] Acetabular fracture

Ragozin Andrey aor на bk.ru
Пт Дек 5 20:10:00 YEKT 2008


Здравствуйте, Yordan.

Вы писали 30 ноября 2008 г., 22:12:30:

> Dear All ,
>  
> I would like to present a case of a young (22 yo) male who suffered
> a car crush. He has combined transverse and posterior wall fracture of
> the right acetabulum as well as a nondisplaced fracture of the left
> acetabulum and bimalleolar fracture of the left ankle. Initially we did
> a combined lateral and axial traction to the right leg . The
> patient is stable now ( 6 day after the accident ), so I would like to ask for
> your opinion for the best course of treatment of the right acetabulum.
>  
> Best regards,
>  
> Yordan Andonov MD
>  
> Ruse, Bulgaria

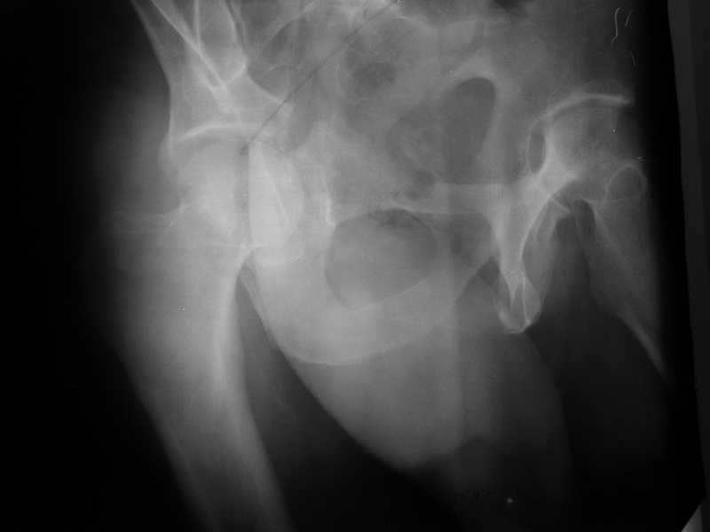
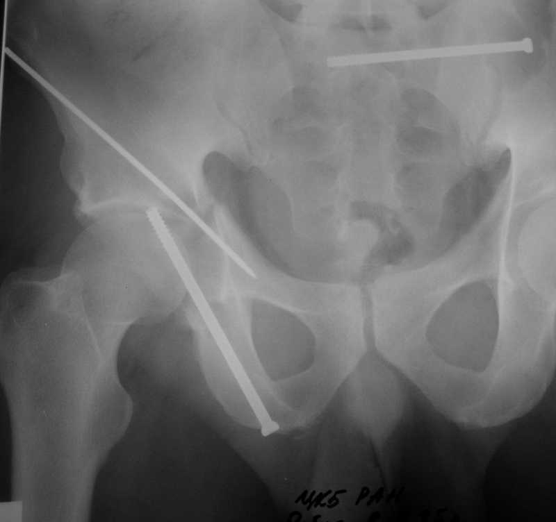
Yordan! In this case position of bone fragments is quite good. We
prefer to use miniinvasive technique. We fix posterior column by can.
screw and put 3mm pin with distal thread to the anterior column. Next day after
the surgery he may start walking with crutches.   3 month after the
surgery  we remove the pin.  In cases of maleolar fractures  we use
angle stable plates to lat. mal. and pins or screws and if
syndesmosis is intact - full loading is not forbidden.
 Sending exampl pict.
Best regards
Andrey Ragozin

-- 
                         mailto:aor на bk.ru
----------- следущая часть -----------
Вложение не в текстовом формате было извлечено…
Имя     : 1.jpg
Тип     : image/jpeg
Размер  : 14134 байтов
Описание: отсутствует
Url     : http://weborto.net:8080/pipermail/ortho/attachments/20081205/95456be3/attachment-0003.jpg 
----------- следущая часть -----------
Вложение не в текстовом формате было извлечено…
Имя     : 2.jpg
Тип     : image/jpeg
Размер  : 17292 байтов
Описание: отсутствует
Url     : http://weborto.net:8080/pipermail/ortho/attachments/20081205/95456be3/attachment-0004.jpg 
----------- следущая часть -----------
Вложение не в текстовом формате было извлечено…
Имя     : 3.jpg
Тип     : image/jpeg
Размер  : 35084 байтов
Описание: отсутствует
Url     : http://weborto.net:8080/pipermail/ortho/attachments/20081205/95456be3/attachment-0005.jpg 


Подробная информация о списке рассылки Ortho