[Ortho] ложный сустав левой голени.

Korobushkin G gleb на gelios.net
Сб Дек 6 11:06:38 YEKT 2008


Коллеги!
Обсуждая варианты лечения больного появилась идея.
В данной ситуации выполнить тибилизацию малоберцовой кости.
Варианты: открыть в проксимальном отделе место малоберцово-большеберцового сочленения, "зачистать", фиксировать малоберцовую кость к большеберцовой винтами. Тоже самое сделать в дистальном сочтелении. Либо в аппарате Илизарова.
Поделитесь опытом выполнения таких операций!

С ув Коробушкин Г
  ----- Original Message ----- 
  From: Korobushkin G 
  To: Orthoforum 
  Sent: Thursday, December 04, 2008 11:25 PM
  Subject: [Ortho] ложный сустав левой голени.


  Коллеги!   
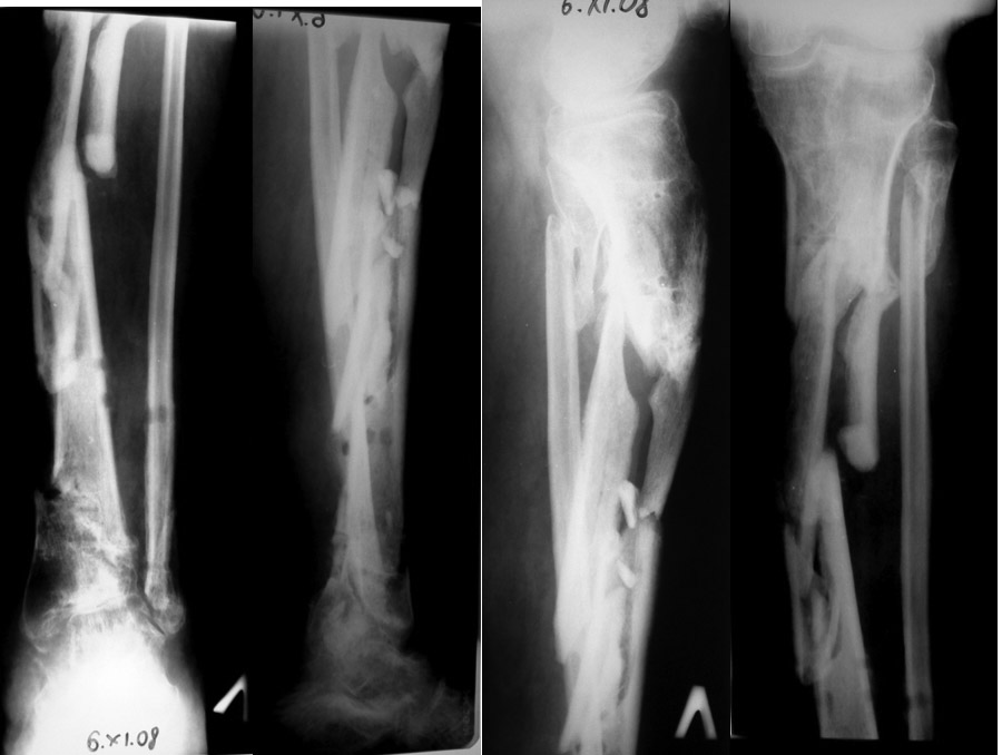
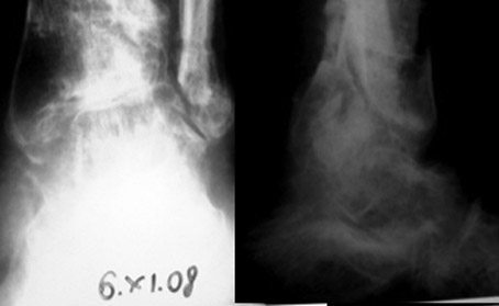
  Больной К 45 лет, 
  ДЗ: ложный сустав левой голени. 
  Травма 1 год назад, ТСТ. открытый фрагментарный перелом левой голени, перелом мыщелков левой голени, н.з малоберцовой кости. +плечо, Алкогольный делирий.
  В настоящий момент левая нижняя конечность не опорная, имеется патологическая подвижность в с.з голени. Раны зажили более 6 мес назад.  
  Обдумываем варианты лечения: Аппарат Илизарова: два кольца на проксимальный отдел голени, два кольца на промежуточный фрагмент, два кольца на дистальный, остеотомия малоберцовой кости. 1.Закрыто сделать дистракцию-компрессию между отломками проксимального и дистального фрагментов 2. Или открыто резекция концов фрагментов с укорочением. 3 Удалить целиком средний фрагмент и <зарастить> регенератом.  

  С ув Коробушкин Г


------------------------------------------------------------------------------


  _______________________________________________
  Ortho mailing list
  Ortho на weborto.net
  http://weborto.net:8080/mailman/listinfo/ortho
----------- следущая часть -----------
Вложение в формате HTML было извлечено&hellip;
URL: http://weborto.net:8080/pipermail/ortho/attachments/20081206/83a90bd5/attachment-0001.htm 
----------- следущая часть -----------
Вложение не в текстовом формате было извлечено&hellip;
Имя     : Копия Копия ScreenShot015.jpg
Тип     : image/jpeg
Размер  : 86952 байтов
Описание: отсутствует
Url     : http://weborto.net:8080/pipermail/ortho/attachments/20081206/83a90bd5/attachment-0002.jpg 
----------- следущая часть -----------
Вложение не в текстовом формате было извлечено&hellip;
Имя     : гс 6.11.08.jpg
Тип     : image/jpeg
Размер  : 27804 байтов
Описание: отсутствует
Url     : http://weborto.net:8080/pipermail/ortho/attachments/20081206/83a90bd5/attachment-0003.jpg 


Подробная информация о списке рассылки Ortho