[Ortho] Открытый "пилон"

Pavel Ivanov ortopedipa на mail.ru
Вт Дек 9 14:53:34 YEKT 2008


Ерсин, здравствуйте.

You wrote 5 декабря 2008 г., 19:26:24:


ЕЖ> случая закрытого артродезирования ГСС, но в обеих случаях штфит
ЕЖ> устанавливал антеградно (классическим ввдением) и у этих паицентов
ЕЖ> не было необходимости удлинения, а блокирующие винты ввинчивал в
ЕЖ> таранную кость (таранно-пяточное сочленение был интактным), при
ЕЖ> этом проксимальное отверстие атакующего конца штифта совпадал с
ЕЖ> уровнем межберцового синдесмоза   и получалось синостозирование
ЕЖ> синдесмоза. Может этого не надо было делать? по крайней мере малое
ЕЖ> количество больных не позволяет мне делать выводы. 

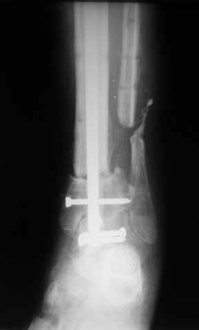
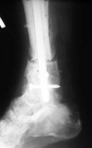
Ерсин, мы тоже имеем опыт такой фиксации. Подобную операцию за последние 3 года мы сделали трем пациентам. Снимки одного из них я прилагаю. К сожалению, ни в одном из этих 3-х случаев мы не получили удовлетворяющего нас результата. Очень трудно провести штифт, введенный антеградно ровно по центру таранной кости. Отсутствие подвижности между диафизом и дистальным отломком большеберцовой кости (после фиксации в аппарате в течение 1-2 мес) очень усложняет проведение штифта в центр блока таранной кости. Поэтому мы от этого пока отказались, и проводим штифт через пятку. При данном варианте фиксации подобных проблем не возникало ни разу. 


-- 
Best regards,

Pavel Ivanov
Sklifosovsky Clinical and Research Institute for Emergency Medicine
Polytrauma Department
3, Bolshaya Sukharevskay sq.
Moscow, 129090 Russia
skype: pavel_doc
ortopedipa на mail.ru
----------- следущая часть -----------
Вложение не в текстовом формате было извлечено…
Имя     : 1.jpg
Тип     : image/jpeg
Размер  : 15931 байтов
Описание: отсутствует
Url     : http://weborto.net:8080/pipermail/ortho/attachments/20081209/5d3bc875/attachment-0004.jpg 
----------- следущая часть -----------
Вложение не в текстовом формате было извлечено…
Имя     : 2.jpg
Тип     : image/jpeg
Размер  : 16416 байтов
Описание: отсутствует
Url     : http://weborto.net:8080/pipermail/ortho/attachments/20081209/5d3bc875/attachment-0005.jpg 
----------- следущая часть -----------
Вложение не в текстовом формате было извлечено…
Имя     : 3.jpg
Тип     : image/jpeg
Размер  : 16031 байтов
Описание: отсутствует
Url     : http://weborto.net:8080/pipermail/ortho/attachments/20081209/5d3bc875/attachment-0006.jpg 
----------- следущая часть -----------
Вложение не в текстовом формате было извлечено…
Имя     : 4.jpg
Тип     : image/jpeg
Размер  : 18102 байтов
Описание: отсутствует
Url     : http://weborto.net:8080/pipermail/ortho/attachments/20081209/5d3bc875/attachment-0007.jpg 


Подробная информация о списке рассылки Ortho