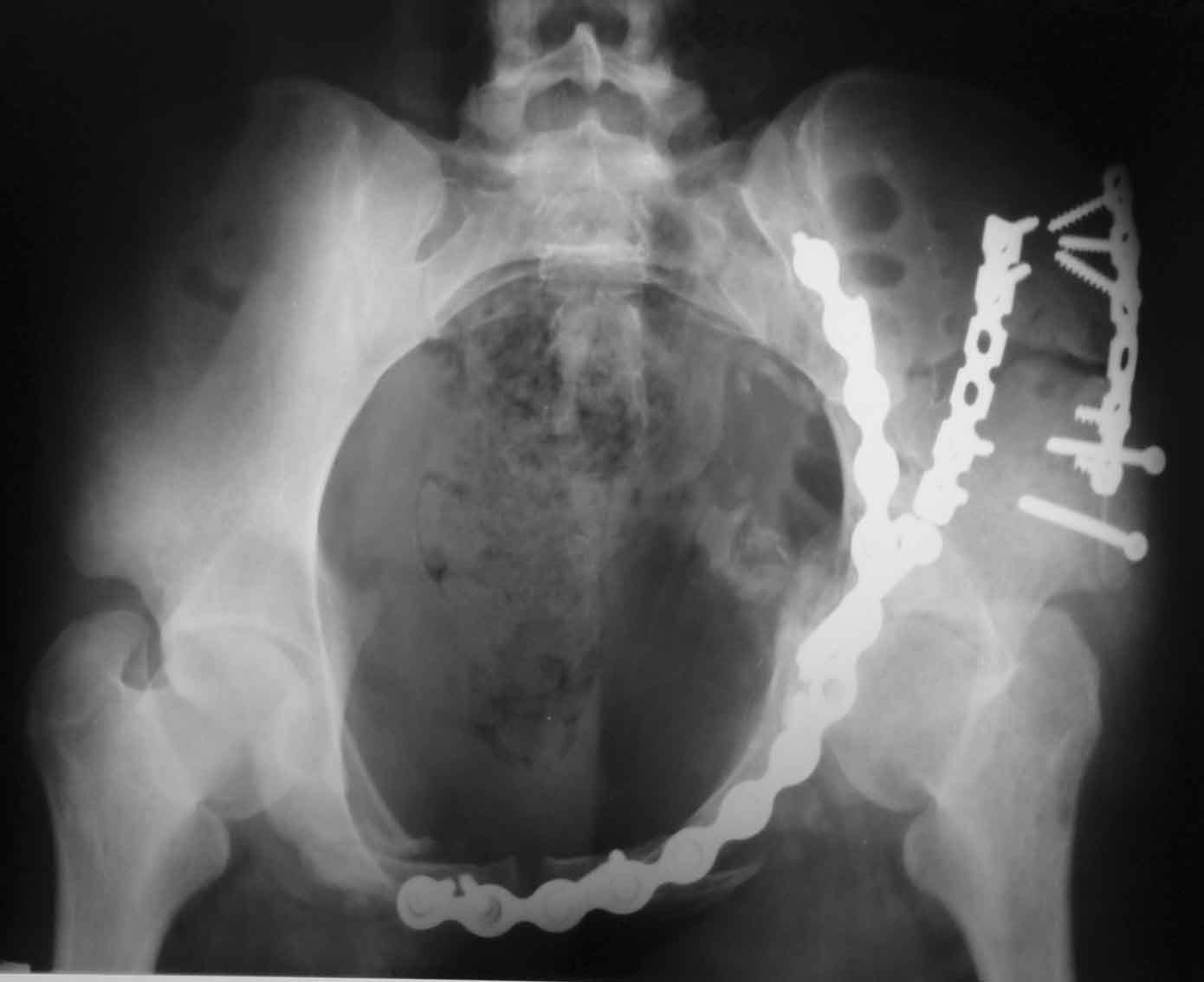
[Ortho] Рентгенограммы после операции

Атом Тер-Григорян orthoforum на weborto.net
Чт Дек 11 01:16:52 YEKT 2008


Inlet
Атом Тер-Григорян
----------- следущая часть -----------
Вложение не в текстовом формате было извлечено…
Имя     : DSC03788-1.jpg
Тип     : image/jpeg
Размер  : 60057 байтов
Описание: отсутствует
Url     : http://weborto.net:8080/pipermail/ortho/attachments/20081211/a1a52326/attachment-0001.jpg 


Подробная информация о списке рассылки Ortho