[Ortho] Оскольчатый перелом надколенника

Станислав Дмитриев orthoforum на weborto.net
Чт Дек 11 22:25:38 YEKT 2008


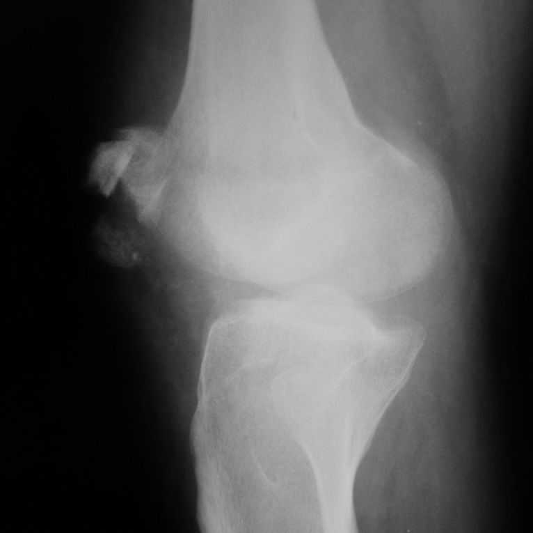
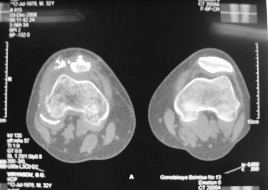
Уважаемые коллеги! Обратился пациент 32 лет с травмой коленного сустава от июля 2008 года - падение с мотоцикла, прямой удар передней поверхностью коленного сустава. Диагноз - открытый оскольчатый перелом надколенника. В одной из больниц города выполнили ПХО, шов надколенника лавсаном. Заживление раны с частичным нагноением(разведена на участке 3 см).
Сейчас мягкие ткани в порядке. R-снимки, КТ в приложении. Объем движений 0/0/110 гр.Ходит почти без хромоты.
Жалобы на торчащий под кожей один из отломков, боль в этой точке.Вопрос: что делать? Первое - убрать этот отломок и на этом закончить. Второе - оставить все как есть(отломок не так уж и сильно мешает). Ждать возможного развития артроза, дальше по ситуации. Третье - подумать о протезировании надколенника.

Станислав Дмитриев
 ГКБ №13 Нижний Новгород
----------- УМЕДХЭБС ЮБУФШ -----------
Вложение не в текстовом формате было извлечено…
Имя     : IMG_3375.jpg
Тип     : image/jpeg
Размер  : 10888 байтов
Описание: отсутствует
Url     : http://weborto.net:8080/pipermail/ortho/attachments/20081211/fb85b34a/attachment-0004.jpg 
----------- УМЕДХЭБС ЮБУФШ -----------
Вложение не в текстовом формате было извлечено…
Имя     : IMG_3377.jpg
Тип     : image/jpeg
Размер  : 28845 байтов
Описание: отсутствует
Url     : http://weborto.net:8080/pipermail/ortho/attachments/20081211/fb85b34a/attachment-0005.jpg 
----------- УМЕДХЭБС ЮБУФШ -----------
Вложение не в текстовом формате было извлечено…
Имя     : IMG_3379.jpg
Тип     : image/jpeg
Размер  : 20821 байтов
Описание: отсутствует
Url     : http://weborto.net:8080/pipermail/ortho/attachments/20081211/fb85b34a/attachment-0006.jpg 
----------- УМЕДХЭБС ЮБУФШ -----------
Вложение не в текстовом формате было извлечено…
Имя     : IMG_3381.jpg
Тип     : image/jpeg
Размер  : 17475 байтов
Описание: отсутствует
Url     : http://weborto.net:8080/pipermail/ortho/attachments/20081211/fb85b34a/attachment-0007.jpg 


Подробная информация о списке рассылки Ortho