[Ortho] Александру БелоноговуПомогите определиться.....

Evgueny evgueny на iway.na
Пт Дек 12 01:46:47 YEKT 2008


Александр, Здравствуйте,

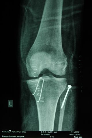
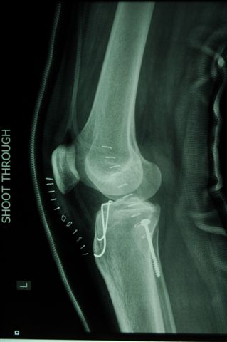
Как вариант фиксации межмыщелкового возвышения предлагаю фиксацию двумя спицами - технически гораздо проще , чем проволочной петлей и вполне стабильно.
В приложении Ргграммы- спицы проводятся ретроградно через фрагмент возвышения, загибаются, подтягиваются  и загибаются со стороны внутреннего мыщелка.
В остальном присоединяюсь к высказанному коллегами ранее мнению.
Удачи,
Евгений Чекашкин
The message is ready to be sent with the following file or link attachments:
DSC_0082
DSC_0085
DSC_0086

Note: To protect against computer viruses, e-mail programs may prevent sending or receiving certain types of file attachments.  Check your e-mail security settings to determine how attachments are handled.
----------- УМЕДХЭБС ЮБУФШ -----------
Вложение в формате HTML было извлечено…
URL: http://weborto.net:8080/pipermail/ortho/attachments/20081211/b015eb49/attachment-0001.htm 
----------- УМЕДХЭБС ЮБУФШ -----------
Вложение не в текстовом формате было извлечено…
Имя     : DSC_0082.JPG
Тип     : image/jpeg
Размер  : 24347 байтов
Описание: отсутствует
Url     : http://weborto.net:8080/pipermail/ortho/attachments/20081211/b015eb49/attachment-0003.jpeg 
----------- УМЕДХЭБС ЮБУФШ -----------
Вложение не в текстовом формате было извлечено…
Имя     : DSC_0085.JPG
Тип     : image/jpeg
Размер  : 32136 байтов
Описание: отсутствует
Url     : http://weborto.net:8080/pipermail/ortho/attachments/20081211/b015eb49/attachment-0004.jpeg 
----------- УМЕДХЭБС ЮБУФШ -----------
Вложение не в текстовом формате было извлечено…
Имя     : DSC_0086.JPG
Тип     : image/jpeg
Размер  : 30823 байтов
Описание: отсутствует
Url     : http://weborto.net:8080/pipermail/ortho/attachments/20081211/b015eb49/attachment-0005.jpeg 


Подробная информация о списке рассылки Ortho