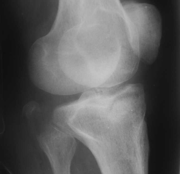
[Ortho] Помогите определиться - перелом мыщелков правой большеберцовой кости

Белоногов Александр orthoforum на weborto.net
Сб Дек 13 15:58:43 YEKT 2008


Высылаю рентгенограммы
Белоногов Александр
----------- следущая часть -----------
Вложение не в текстовом формате было извлечено…
Имя     : 1.jpg
Тип     : image/jpeg
Размер  : 24361 байтов
Описание: отсутствует
Url     : http://weborto.net:8080/pipermail/ortho/attachments/20081213/ecf3f66b/attachment-0002.jpg 
----------- следущая часть -----------
Вложение не в текстовом формате было извлечено…
Имя     : 2.jpg
Тип     : image/jpeg
Размер  : 20414 байтов
Описание: отсутствует
Url     : http://weborto.net:8080/pipermail/ortho/attachments/20081213/ecf3f66b/attachment-0003.jpg 


Подробная информация о списке рассылки Ortho