[Ortho] болезнь Педжета

Анатолий orthoforum на weborto.net
Чт Дек 25 18:28:20 YEKT 2008


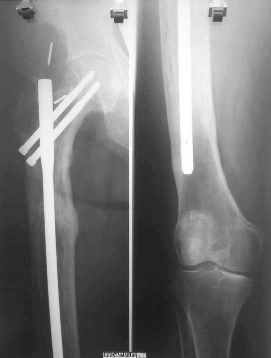
Год назад посылал сообщение о патологическом переломе

Год назад посылал сообщение о патологическом переломе на фоне болезни
Педжета (http://www.weborto.net/forum/1197022316/). Вот, в итоге, все
зажило. Сообщение посылаю так, для ознакомления, может кому-то будет
интересно. Всех с Рождеством!

Анатолий
Минская обл. клин. больница
----------- УМЕДХЭБС ЮБУФШ -----------
Вложение не в текстовом формате было извлечено…
Имя     : 24122008(001).jpg
Тип     : image/jpeg
Размер  : 14889 байтов
Описание: отсутствует
Url     : http://weborto.net:8080/pipermail/ortho/attachments/20081225/5f6b25e6/attachment.jpg 


Подробная информация о списке рассылки Ortho