[Ortho] Застарелый вывих предплечья с несросшимся переломом локтевого отростка

orthoforum на weborto.net orthoforum на weborto.net
Вс Фев 3 00:11:59 YEKT 2008


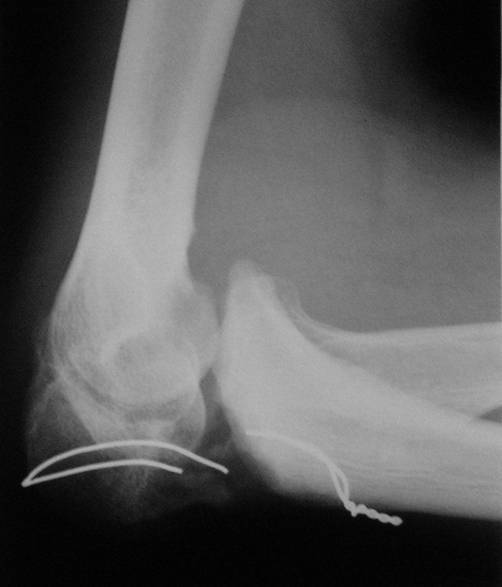
Уважаемые коллеги! Пациент 34 лет. Человек физического труда. Восемь 
месяцев назад в отделение сочетанной травмы был произведен остеосинтез 
локтевого отростка проволокой. В последующем занимался разработкой 
сустава. Когда понял, что восстановить сустав не удастся, обратился за 
помощью. Предполагает, что после операции функция сустава восстановится 
полностью. Мы думаем выполнить операцию в два этапа:

1. Первый этап - аппаратом вправить предплечье 2. Второй этап - 
остеосинтез локтевого отростка спонгиозным винтом, или пластиной, или по 
Веберу с костной аутопластикой. Помогите советом.

С уважением Н.Петров



----------- следущая часть -----------
Вложение не в текстовом формате было извлечено…
Имя     : image002.jpg
Тип     : image/jpeg
Размер  : 16625 байтов
Описание: отсутствует
Url     : http://weborto.net:8080/pipermail/ortho/attachments/20080203/3c110408/attachment-0001.jpg 


Подробная информация о списке рассылки Ortho