[Ortho] Перелом проксимального конца бедренной кости с

orthoforum на weborto.net orthoforum на weborto.net
Пт Фев 8 02:17:56 YEKT 2008


 >> Павел, привет.
 >>
 >> Если решили интрамедуллярным гвоздем, тогда во время или до операции
 >> надо убедиться в отсутствии перелома латерального кортекса в
 >> проксимальной части бедра.
 >>
 >> Такие бывшие нестабильные переломы из-за отсутствия медиальной стенки
 >> (малый вертел) имеют тенденцию уходит в варус.
 >
 >> Для предупреждения таких явлений необходимо провести превентивный
 >> шуруп-стопор в передне-заднем направлении латеральнее гвоздя.
 >
 >    Латеральная стенка здесь явно отсуствует ( ушла с м вертелом)
 >    Точку ввода гвоздя желательно медиализировать, можно до ямки, несмотря
 > на латерализованную версию импланта, а отклоняющий винт провести  в зоне
 > дуги Адамса, и возможно второй витн после введения 2-х шеечных винтов 
между
 > ними для предупреждения миграции. Недостаток данного гвоздя надличие 
только
 > размров 9-10 мм, что тоже мешает бороться с варусом проксимального 
отломка.
 > Малый вертел я бы не трогал, травматичность мероприятия неоправдана, 
однако
 > он может явиться причиной оссификата и импичмента. У данной больной - 
будет
 > проблема- бедем решать.
 > Успехов!
 > В. Машталов

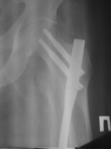
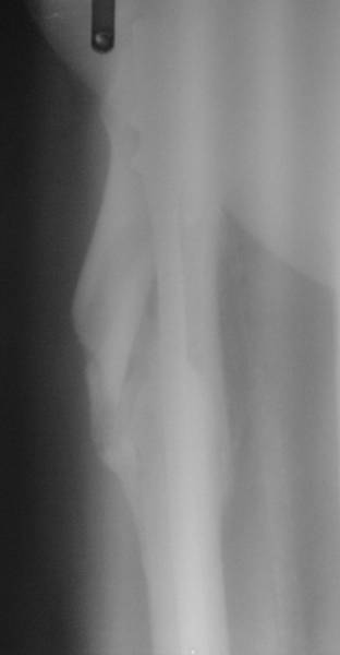
Нашел в архиве наш проблемный остесинтез  на таком-же штифте с  варусным 
смещением проксимального отломка, который ,правда, успешно 
консолидировался в срок.


В.Машталов
----------- следущая часть -----------
Вложение не в текстовом формате было извлечено…
Имя     : 2.jpg
Тип     : image/jpeg
Размер  : 14790 байтов
Описание: отсутствует
Url     : http://weborto.net:8080/pipermail/ortho/attachments/20080208/d78f4c02/attachment-0004.jpg 
----------- следущая часть -----------
Вложение не в текстовом формате было извлечено…
Имя     : 3.jpg
Тип     : image/jpeg
Размер  : 11933 байтов
Описание: отсутствует
Url     : http://weborto.net:8080/pipermail/ortho/attachments/20080208/d78f4c02/attachment-0005.jpg 
----------- следущая часть -----------
Вложение не в текстовом формате было извлечено…
Имя     : 4.jpg
Тип     : image/jpeg
Размер  : 11139 байтов
Описание: отсутствует
Url     : http://weborto.net:8080/pipermail/ortho/attachments/20080208/d78f4c02/attachment-0006.jpg 
----------- следущая часть -----------
Вложение не в текстовом формате было извлечено…
Имя     : DSC00073.jpg
Тип     : image/jpeg
Размер  : 11951 байтов
Описание: отсутствует
Url     : http://weborto.net:8080/pipermail/ortho/attachments/20080208/d78f4c02/attachment-0007.jpg 


Подробная информация о списке рассылки Ortho