[Ortho] Перелом вертулжной впадины и бедер

orthoforum на weborto.net orthoforum на weborto.net
Пт Фев 8 21:41:08 YEKT 2008


Уважаемые коллеги! Помогите пожалуйста в лечении сложного клинического 
случая
		
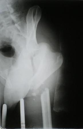
Пациент 33 лет поступил 1.02.08 с диагнозом: Множественная травма. 
Т-образный перелом свода, перелом заднего края правой вертлужной 
впадины. Поперечный подвертельный перелом диафиза, подвздошный вывих 
правого бедра. Поперечный подвертельный перелом диафиза на фоне 
консолидированного косого перелома в\3 левого бедра в порочном 
положении. Открытый краевой перелом надколенника правого коленного 
сустава. Открытый оскольчатый перелом н\челюсти. Закрытый неосложненный 
перелом V ребра справа. В настоящее время больной компенсирован.
Планируем: в положении больного на спине выполнить БИОС левого бедра 
ретроградно. После повернуть на левый бок и выполнить БИОС правого бедра 
антеградно одновременно с Y-образным доступом к вертлужной впадине. 
После - остеосинтез вертлужной впадины реконструктивными пластинами.
Посоветуйте пожалуйста:
1. возможно ли выполнить все 3 операции одномоментно?
2. если возможно, то м\б начать операцию на стороне более тяжелого 
повреждения? Как при этом укладывать, и каким способом оперировать?
3. стоит ли выполнять БИОС левого бедра при условии, что если выбрать 
штифт длинной до б\вертела, то при введении проксимальный конец пройдет 
мимо б\вертела по задней поверхности?

Заранее благодарен.
Гринь Алексей.
ОКБ N2, г. Тюмень
----------- следущая часть -----------
Вложение не в текстовом формате было извлечено…
Имя     : P2070027.JPG
Тип     : image/jpeg
Размер  : 15313 байтов
Описание: отсутствует
Url     : http://weborto.net:8080/pipermail/ortho/attachments/20080208/a05b98aa/attachment-0003.jpeg 
----------- следущая часть -----------
Вложение не в текстовом формате было извлечено…
Имя     : P2070031.JPG
Тип     : image/jpeg
Размер  : 12957 байтов
Описание: отсутствует
Url     : http://weborto.net:8080/pipermail/ortho/attachments/20080208/a05b98aa/attachment-0004.jpeg 
----------- следущая часть -----------
Вложение не в текстовом формате было извлечено…
Имя     : P2070043.JPG
Тип     : image/jpeg
Размер  : 18336 байтов
Описание: отсутствует
Url     : http://weborto.net:8080/pipermail/ortho/attachments/20080208/a05b98aa/attachment-0005.jpeg 


Подробная информация о списке рассылки Ortho