[Ortho] Застарелый вывих предплечья с несросшимся переломом локтевого отростка

orthoforum на weborto.net orthoforum на weborto.net
Пн Фев 11 20:31:13 YEKT 2008


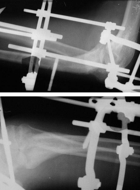
Коллеги! Сделан  первый  этап   операции - синтез   спице-стержневым 
аппаратом.  При    умеренной   дистракции    локтевого  сустава   (0,5 
мм  в  сутки)  производится    дорзальная    тракция   дистального 
отломка   локтевой  кости  (1  мм   в  сутки)   стержнем   Штеймана 
при  стабилизации   olecranon   отдельным  стержнем.  Стержень  в 
olecranon    ввелся  очень  легко  -  остеопороз.     Р-граммы   через 
  4  дня   после  операции.
Николай



----------- следущая часть -----------
Вложение не в текстовом формате было извлечено…
Имя     : image002.jpg
Тип     : image/jpeg
Размер  : 27531 байтов
Описание: отсутствует
Url     : http://weborto.net:8080/pipermail/ortho/attachments/20080211/7ed7cb3b/attachment-0001.jpg 


Подробная информация о списке рассылки Ortho