[Ortho] Двухлодыжечный перелом + разрыв синдесмоза - оперировать или нет?

orthoforum на weborto.net orthoforum на weborto.net
Ср Фев 13 23:32:29 YEKT 2008


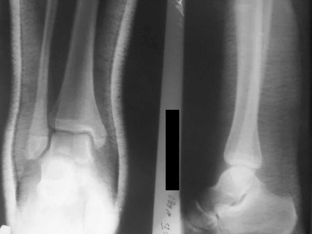
Уважаемые коллеги!Помогите, пожалуйста, советом! Пациентка 14 лет. 
Двухлодыжечный
перелом с (как нам кажется) повреждением межберцового синдесмоза.

Вопрос один: оперировать или оставить "как есть" в гипсе? Не будет ли в 
дальнейшем проблем с суставом. Заранее спасибо.

Сергей Тарасов


----------- следущая часть -----------
Вложение не в текстовом формате было извлечено…
Имя     : 1.JPG
Тип     : image/jpeg
Размер  : 21068 байтов
Описание: отсутствует
Url     : http://weborto.net:8080/pipermail/ortho/attachments/20080213/e16560cc/attachment-0001.jpeg 
----------- следущая часть -----------
Вложение не в текстовом формате было извлечено…
Имя     : 2.jpg
Тип     : image/jpeg
Размер  : 42250 байтов
Описание: отсутствует
Url     : http://weborto.net:8080/pipermail/ortho/attachments/20080213/e16560cc/attachment-0002.jpg 
----------- следущая часть -----------
Вложение не в текстовом формате было извлечено…
Имя     : 4.jpg
Тип     : image/jpeg
Размер  : 37269 байтов
Описание: отсутствует
Url     : http://weborto.net:8080/pipermail/ortho/attachments/20080213/e16560cc/attachment-0003.jpg 


Подробная информация о списке рассылки Ortho