[Ortho] Перелом проксимального конца бедренной кости со смещенмем малого вертела

Pavel Ivanov ortopedipa на mail.ru
Сб Фев 16 23:28:28 YEKT 2008


Уважаемы коллеги, здравствуйте.

Дорогие Джолдас Кульджанов и Артур Керимов, спасибо вам за помощь. Извините, что отвечаю с задержкой. Артур, пожалуйста, передай привет и низкий поклон всем врачам-травматологам госпиталя имени Н.Н. Бурденко. 

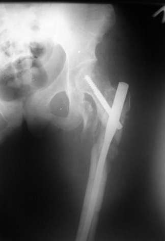
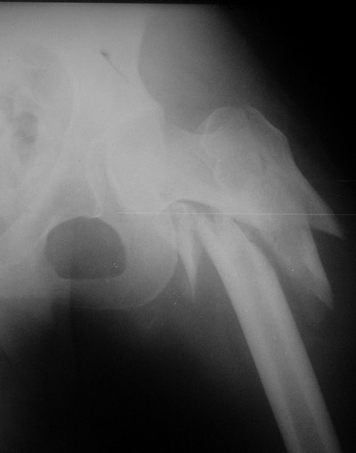
Мы закончили репозицию отломков бедренной кости в аппарате (рис. 1, 2) у нашей пациентки (http://weborto.net/forum/1200869039/index_html) и на прошлой неделе сделали ей вторую операцию. Штифт удалось ввести закрыто. Верхний шеечный винт держался очень плохо, поэтому мы его убрали и решили не ставить. Нижний держал очень плотно. Рентгенограммы после операции прилагаю (рис. 3,4). Пока не получилось сделать нормальный аксиальный снимок (больная с трудом сгибает и отводит ногу в тазобедренном суставе). Пока сделали боковую проекцию в положении на здоровом боку со сгибанием здоровой ноги. 

От нас и от нашей пациентки всем спасибо за участие в обсуждении.


-- 
Best regards,

Pavel Ivanov
Sklifosovsky Clinical and Research Institute for Emergency Medicine
Polytrauma Department
3, Bolshaya Sukharevskay sq.
Moscow, 129090 Russia
skype: pavel_doc
ortopedipa на mail.ru
----------- следущая часть -----------
Вложение не в текстовом формате было извлечено…
Имя     : рис. 1.jpg
Тип     : image/jpeg
Размер  : 49856 байтов
Описание: отсутствует
Url     : http://weborto.net:8080/pipermail/ortho/attachments/20080216/c8b24fe3/attachment-0004.jpg 
----------- следущая часть -----------
Вложение не в текстовом формате было извлечено…
Имя     : рис. 2.jpg
Тип     : image/jpeg
Размер  : 22149 байтов
Описание: отсутствует
Url     : http://weborto.net:8080/pipermail/ortho/attachments/20080216/c8b24fe3/attachment-0005.jpg 
----------- следущая часть -----------
Вложение не в текстовом формате было извлечено…
Имя     : рис. 3.jpg
Тип     : image/jpeg
Размер  : 19378 байтов
Описание: отсутствует
Url     : http://weborto.net:8080/pipermail/ortho/attachments/20080216/c8b24fe3/attachment-0006.jpg 
----------- следущая часть -----------
Вложение не в текстовом формате было извлечено…
Имя     : рис. 4.jpg
Тип     : image/jpeg
Размер  : 15692 байтов
Описание: отсутствует
Url     : http://weborto.net:8080/pipermail/ortho/attachments/20080216/c8b24fe3/attachment-0007.jpg 


Подробная информация о списке рассылки Ortho