[Ortho] Ложный сустав большеберцовой кости.

orthoforum на weborto.net orthoforum на weborto.net
Вс Фев 17 17:25:47 YEKT 2008


Здравствуйте,уважаемые коллеги. Хотелось бы услышать ваше мнение по 
следующему случаю:
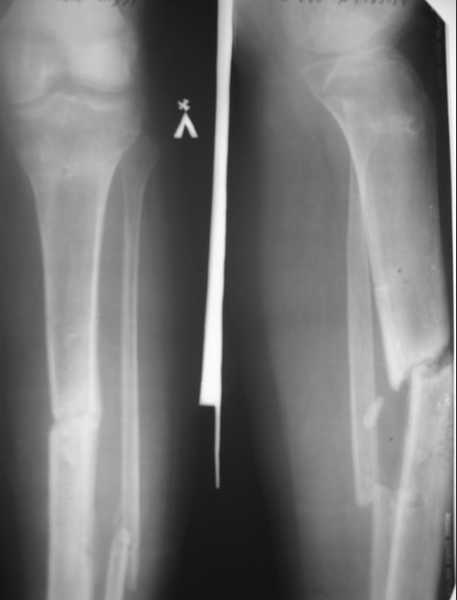
пациент 20 лет, травма в июне 2007 г. Открытый перелом костей левой 
голени со смещением отломков. В этот же день выполнена ПХО открытого 
перелома костей левой голени, фиксация в КДА по Илизарову. Раны заживали 
вторичным натяжением. В январе 2008г. сняли аппарат, по причине
нестабильности, - гипсовая иммобилизация. На данный момент согласно 
контрольным рентгенограммам и времени прошедшего с момента травмы 
имеется нормо, гипотрофичный ложный сустав большеберцовой кости. Местно 
- признаков воспаления не определяется. Лабораторные
показатели в пределах нормы.


Планирую: 1. Рассверлить канал риммерами до диметра 12 13 мм, и
выполнить остеосинтез блокированным канюлированным стержнем диметром 11 
12 мм.

Вопросы:
1. Достаточно ли для стимуляции остеогенеза только рассверливания костно 
мозгового канала, есть ли необходимость в костной пластике и 
декортикации, нужно ли выполнить остеотомию малоберцовой кости?

2. Есть ли необходимость первичной динамизации, или сначала в статику, 
потом динамизация? Если в статическом блокировании, то через сколько
необходимо выполнить динамизацию?

3. Когда разрешить нагрузки на конечность? Что вы посоветуете? Где могут 
  быть - технические трудности.

С уважением Денис Магданов



__________ NOD32 2880 (20080215) Information __________

This message was checked by NOD32 antivirus system.
http://www.eset.com



----------- следущая часть -----------
Вложение не в текстовом формате было извлечено…
Имя     : 861CANON_001.jpg
Тип     : image/jpeg
Размер  : 15577 байтов
Описание: отсутствует
Url     : http://weborto.net:8080/pipermail/ortho/attachments/20080217/d3f98ff0/attachment-0001.jpg 


Подробная информация о списке рассылки Ortho