[Ortho] ложный сустав после остеосинтеза плеча

Алексей Минервин miner_m на mail.ru
Чт Фев 21 15:30:01 YEKT 2008


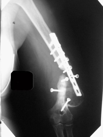
Уважаемые коллеги! Обратилась женщина 38 лет, соматически здорова, ORIF наружным доступом в 2005 году (к сожалению снимки пока не нашли), перелом типа В1. После остеосинтеза никуда не обращалась. Летом прошлого года (через 2 года после операции) во время перетаскивания стиральной машины появились боли в оперированном плече, но пришла лишь сейчас. Клинически: варусная деформация, патологическая подвижность, объем движений в локтевом суставе почти полный, неврологических расстройств нет, признаков инфекции нет. Коллеги, как вы думаете, возможно ли срастить данный неоартроз? Микрохирургия  недоступна. Честно говоря, не встречаясь с такими последствиями никогда ранее, надеюсь на помощь "коллективного разума".
Спасибо.
С уважением, А.Минервин.

----------- следущая часть -----------
Вложение не в текстовом формате было извлечено…
Имя     : плечо AP.jpg
Тип     : image/jpeg
Размер  : 20021 байтов
Описание: отсутствует
Url     : http://weborto.net:8080/pipermail/ortho/attachments/20080221/4a75fa82/attachment-0002.jpg 
----------- следущая часть -----------
Вложение не в текстовом формате было извлечено…
Имя     : плечо L.jpg
Тип     : image/jpeg
Размер  : 18911 байтов
Описание: отсутствует
Url     : http://weborto.net:8080/pipermail/ortho/attachments/20080221/4a75fa82/attachment-0003.jpg 


Подробная информация о списке рассылки Ortho