[Ortho] ложный сустав после остеосинтеза плеча

Anatoly Lazarev anatoly_lazarev на mtu-net.ru
Пт Фев 22 22:15:14 YEKT 2008


Здравствуйте, Алексей.

Вы писали 21 февраля 2008 г., 13:30:01:

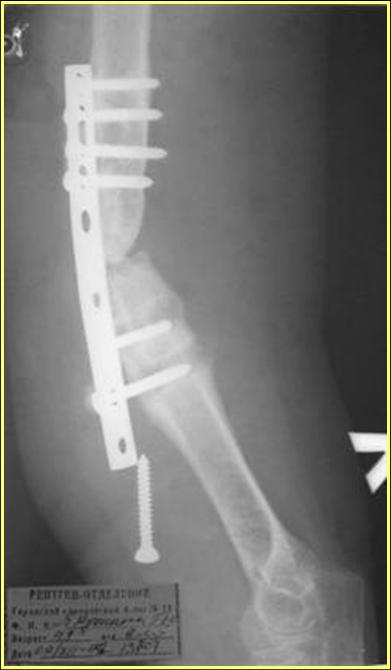
> Уважаемые коллеги! Обратилась женщина 38 лет, соматически здорова,
> ORIF наружным доступом в 2005 году (к сожалению
> снимки пока не нашли), перелом типа В1. После остеосинтеза никуда
> не обращалась. Летом прошлого года (через 2 года
> после операции) во время перетаскивания стиральной машины появились
> боли в оперированном плече, но пришла лишь
> сейчас. Клинически: варусная деформация, патологическая
> подвижность, объем движений в локтевом суставе почти полный,
> неврологических расстройств нет, признаков инфекции нет. Коллеги,
> как вы думаете, возможно ли срастить данный
> неоартроз? Микрохирургия  недоступна. Честно говоря, не встречаясь
> с такими последствиями никогда ранее, надеюсь на
> помощь "коллективного разума".
> Спасибо.
> С уважением, А.Минервин.




> __________ NOD32 2626 (20071030) Information __________

> This message was checked by NOD32 antivirus system.
> http://www.eset.com

Типичная положительная ситуация для интрамедуллярного остеосинтеза с
использованием опорного металлокаркаса для компенсации дефекта.
Послеоперационное ведение активное или агрессивно-активное.  Каркасы
можно заказать в МАТИ. Успехов. ЛАФ.

-- 
С уважением,
 Anatoly                          mailto:anatoly_lazarev на mtu-net.ru
----------- следущая часть -----------
Вложение не в текстовом формате было извлечено…
Имя     : Рисунок11.jpg
Тип     : image/jpeg
Размер  : 45703 байтов
Описание: отсутствует
Url     : http://weborto.net:8080/pipermail/ortho/attachments/20080222/6290c694/attachment-0005.jpg 
----------- следущая часть -----------
Вложение не в текстовом формате было извлечено…
Имя     : Рисунок7.jpg
Тип     : image/jpeg
Размер  : 39767 байтов
Описание: отсутствует
Url     : http://weborto.net:8080/pipermail/ortho/attachments/20080222/6290c694/attachment-0006.jpg 
----------- следущая часть -----------
Вложение не в текстовом формате было извлечено…
Имя     : Рисунок8.jpg
Тип     : image/jpeg
Размер  : 21179 байтов
Описание: отсутствует
Url     : http://weborto.net:8080/pipermail/ortho/attachments/20080222/6290c694/attachment-0007.jpg 
----------- следущая часть -----------
Вложение не в текстовом формате было извлечено…
Имя     : Рисунок9.jpg
Тип     : image/jpeg
Размер  : 21601 байтов
Описание: отсутствует
Url     : http://weborto.net:8080/pipermail/ortho/attachments/20080222/6290c694/attachment-0008.jpg 
----------- следущая часть -----------
Вложение не в текстовом формате было извлечено…
Имя     : Рисунок10.jpg
Тип     : image/jpeg
Размер  : 45889 байтов
Описание: отсутствует
Url     : http://weborto.net:8080/pipermail/ortho/attachments/20080222/6290c694/attachment-0009.jpg 


Подробная информация о списке рассылки Ortho