[Ortho] Продолжение в X-rays

Anatoly Lazarev anatoly_lazarev на mtu-net.ru
Пт Фев 22 22:25:33 YEKT 2008


Здравствуйте, Алексей.

Вы писали 21 февраля 2008 г., 13:30:01:

> Уважаемые коллеги! Обратилась женщина 38 лет, соматически здорова,
> ORIF наружным доступом в 2005 году
> (к сожалению снимки пока не нашли), перелом типа В1. После
> остеосинтеза никуда не обращалась. Летом
> прошлого года (через 2 года после операции) во время перетаскивания
> стиральной машины появились боли в
> оперированном плече, но пришла лишь сейчас. Клинически: варусная деформация, патологическая
> подвижность, объем движений в локтевом суставе почти полный, неврологических расстройств нет,
> признаков инфекции нет. Коллеги, как вы думаете, возможно ли
> срастить данный неоартроз? Микрохирургия 
> недоступна. Честно говоря, не встречаясь с такими последствиями никогда ранее, надеюсь на помощь
> "коллективного разума".
> Спасибо.
> С уважением, А.Минервин.




> __________ NOD32 2626 (20071030) Information __________

> This message was checked by NOD32 antivirus system.
> http://www.eset.com

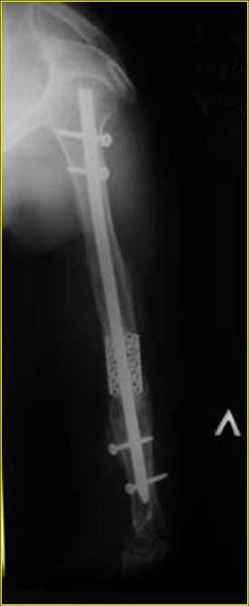
Рентгеновская версия реконструкции хронология в обратном порядке: 1,2
- через 1 год, 3,4 - 2 мес. после операции, 5,6 - после операции.
Движения в полном объеме востановлены к 2 мес. после операции. Если
надо могу  показать мультик. Сейчас уже прошло более 3 лет, больная не
показывается. Успехов ЛАФ.

-- 
С уважением,
 Anatoly                          mailto:anatoly_lazarev на mtu-net.ru
----------- следущая часть -----------
Вложение не в текстовом формате было извлечено…
Имя     : Рисунок4.jpg
Тип     : image/jpeg
Размер  : 22074 байтов
Описание: отсутствует
Url     : http://weborto.net:8080/pipermail/ortho/attachments/20080222/488c6874/attachment-0006.jpg 
----------- следущая часть -----------
Вложение не в текстовом формате было извлечено…
Имя     : Рисунок5.jpg
Тип     : image/jpeg
Размер  : 22124 байтов
Описание: отсутствует
Url     : http://weborto.net:8080/pipermail/ortho/attachments/20080222/488c6874/attachment-0007.jpg 
----------- следущая часть -----------
Вложение не в текстовом формате было извлечено…
Имя     : Рисунок6.jpg
Тип     : image/jpeg
Размер  : 21354 байтов
Описание: отсутствует
Url     : http://weborto.net:8080/pipermail/ortho/attachments/20080222/488c6874/attachment-0008.jpg 
----------- следущая часть -----------
Вложение не в текстовом формате было извлечено…
Имя     : Рисунок1.jpg
Тип     : image/jpeg
Размер  : 13918 байтов
Описание: отсутствует
Url     : http://weborto.net:8080/pipermail/ortho/attachments/20080222/488c6874/attachment-0009.jpg 
----------- следущая часть -----------
Вложение не в текстовом формате было извлечено…
Имя     : Рисунок2.jpg
Тип     : image/jpeg
Размер  : 16470 байтов
Описание: отсутствует
Url     : http://weborto.net:8080/pipermail/ortho/attachments/20080222/488c6874/attachment-0010.jpg 
----------- следущая часть -----------
Вложение не в текстовом формате было извлечено…
Имя     : Рисунок3.jpg
Тип     : image/jpeg
Размер  : 21929 байтов
Описание: отсутствует
Url     : http://weborto.net:8080/pipermail/ortho/attachments/20080222/488c6874/attachment-0011.jpg 


Подробная информация о списке рассылки Ortho