[Ortho] ложный сустав после остеосинтеза плеча

orthoforum на weborto.net orthoforum на weborto.net
Сб Фев 23 03:08:08 YEKT 2008


Лечение вторичного ложного сустава плеча особенно в дистальных отделах 
очень трудная  задача. Результат несостоятельного остеосинтеза, 
приведший к ложному суставу осложнен коротким дистальным 
склеризированным участком и полным отслоением от мягких ткани в 
дистальном отделе плеча.

Проведение интрамедуллярного гвоздя в дистальный отдел плеча технически 
несложно, но с дополнительной травматизацией, и один дистальный винт не 
создаст стабильность.

В средней трети плеча проблем с интрамедуллярным
имплантом нет, можно надуть, или заблокировать, и
внутренная шина, нейтрализуя сгибательные и
разгибательные деформирующие силы, создаст условия для сращения ложного 
сустава.

Без нейтрализации ротационных деформирующих сил в нижней трети плеча 
даже сильными потенционными стимуляторами типа BMP 2 или OP1 невозможно 
создать сращение особенно во "вторично-послеоперационном" ложном суставе.

Без открытия фокуса не обойтись. Насчет декортикации - кто-то уже 
пытался создать декортикацию. На "вторичном" ложном суставе обычно 
вместо кортекса с мягкими тканями, особенно в этом случае, огромная 
псевдосуставная полость.

В зоне патологии нарушено кровообращение, поэтому
трудно предположить, какое из главное -  внутрикостное или периостальное.
Мне кажется, главным является создание стабильности между проксимальным 
и дистальным отделами плеча.

В подготовке места для укладки костной пластики можно идти на небольшое 
укорочение до образования "pepper sign" т.е. образования "росы".

У взрослых для плеча до 3 см укорочение и варус до 20 градусов и ротация 
до 10 градусов считаются
приемлемым.

http://www.hwbf.org/ota/bfc/nepola/exp.htm

"In 1969 Klenerman reported that deformity of 20
degrees of AP angulation, 30 degrees of ML
(varus-valgus) angulation and shortening of up to 3 cm is extremely well 
tolerated"

Насчет пластины 4.5 или тем более "5 мм винтами в
проксимальном отделе" у меня сомнения, из-за стресса в больших дырках 
имплант 4.5 давно не применяется для лечения переломов плеча и еще 
потому, что пластинами с угловой стабильностью  3.5 и 4 мм создается 
адекватная стабильность.

Преконтурированная длинная Locking пластина латерально и вторая под 90 
градусов к ней, медиальнее сзади с достаточным количеством аутокости из 
крыла создаст нужную стабильность и условия для скорейшей разработки 
движения в суставе.

Задний доступ должен быть адекватным, в положение на боку, под плечо 
рентгенопроницаемая подставка.

Если имеется сомнения о вовлечении лучевого нерва в процесс, 
предварительный невролиз поможет работать без оглядки на нерв.

"что пациентка в состоянии приобрести LCP и Хронос, располагаем 
отечественными угловыми пластинами - поэтому, скорее всего, выбор 
имплантата без вариантов"

Без достаточной подготовки с учетом всех нюансов и без наличия 
современных имплантов идти на операцию
считаю рискованным. Это увеличивает шансы
следующих ложных суставов....


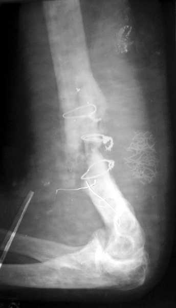
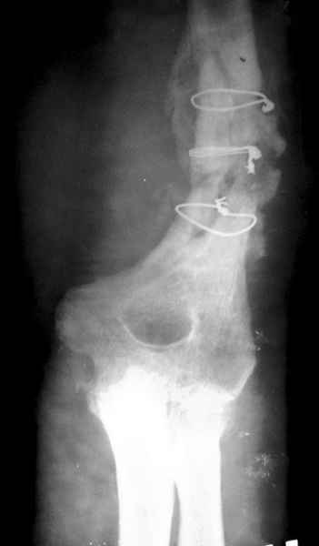
На примере два случая, извиняюсь за качество снимков, снимки и случаи из 
бывшего союза.

Первая больная с "успехом" была прооперирована 6 раз различными методами 
открытого и закрытого остеосинтеза, включая то, что в Кисловодске 
заезжим австралийским "кудесником" на ложный сустав уложена скорлупа от 
страусиновых яиц. Последняя операция одиноким локинг плейт в одной из 
клиник.
Через год по поводу тех же проблем сделали ревизию, оригинальную 
пластину оставили как есть, только укрепили добавлением еще одной 
пластины и сделали костную пластику.
Через два месяца увидели признаки консолидации.

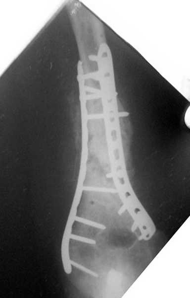
Второй случай, также после множественных операций:
пластина, аппарат, серкляж и парез нерва.
Также ревизия, из-за низкого состояния доступ был сделан через 
остеотомию локтевого отростка.
Ложный сустав фиксирован двумя локинг плейт с аутокостной пластикой, 
также через два месяца увидели признаки консолидации.
Движение в суставе разрешили в две недели.


Djoldas Kuldjanov, MD
Department of Orthopedic Surgery
St. Louis University Medical Center

----------- следущая часть -----------
Вложение не в текстовом формате было извлечено…
Имя     : 1 mukh ap nonunion.jpg
Тип     : image/jpeg
Размер  : 25118 байтов
Описание: отсутствует
Url     : http://weborto.net:8080/pipermail/ortho/attachments/20080223/b621f987/attachment-0006.jpg 
----------- следущая часть -----------
Вложение не в текстовом формате было извлечено…
Имя     : 2 mukh lat.jpg
Тип     : image/jpeg
Размер  : 22657 байтов
Описание: отсутствует
Url     : http://weborto.net:8080/pipermail/ortho/attachments/20080223/b621f987/attachment-0007.jpg 
----------- следущая часть -----------
Вложение не в текстовом формате было извлечено…
Имя     : 1 AP humerus.jpg
Тип     : image/jpeg
Размер  : 19421 байтов
Описание: отсутствует
Url     : http://weborto.net:8080/pipermail/ortho/attachments/20080223/b621f987/attachment-0008.jpg 
----------- следущая часть -----------
Вложение не в текстовом формате было извлечено…
Имя     : 2 lat humerus.jpg
Тип     : image/jpeg
Размер  : 21591 байтов
Описание: отсутствует
Url     : http://weborto.net:8080/pipermail/ortho/attachments/20080223/b621f987/attachment-0009.jpg 
----------- следущая часть -----------
Вложение не в текстовом формате было извлечено…
Имя     : 3 humerus nonunion ap.jpg
Тип     : image/jpeg
Размер  : 25095 байтов
Описание: отсутствует
Url     : http://weborto.net:8080/pipermail/ortho/attachments/20080223/b621f987/attachment-0010.jpg 
----------- следущая часть -----------
Вложение не в текстовом формате было извлечено…
Имя     : 4 hunerus nonunion lat.jpg
Тип     : image/jpeg
Размер  : 22479 байтов
Описание: отсутствует
Url     : http://weborto.net:8080/pipermail/ortho/attachments/20080223/b621f987/attachment-0011.jpg 


Подробная информация о списке рассылки Ortho