[Ortho] И снова пилон

orthoforum на weborto.net orthoforum на weborto.net
Вс Фев 24 16:52:31 YEKT 2008


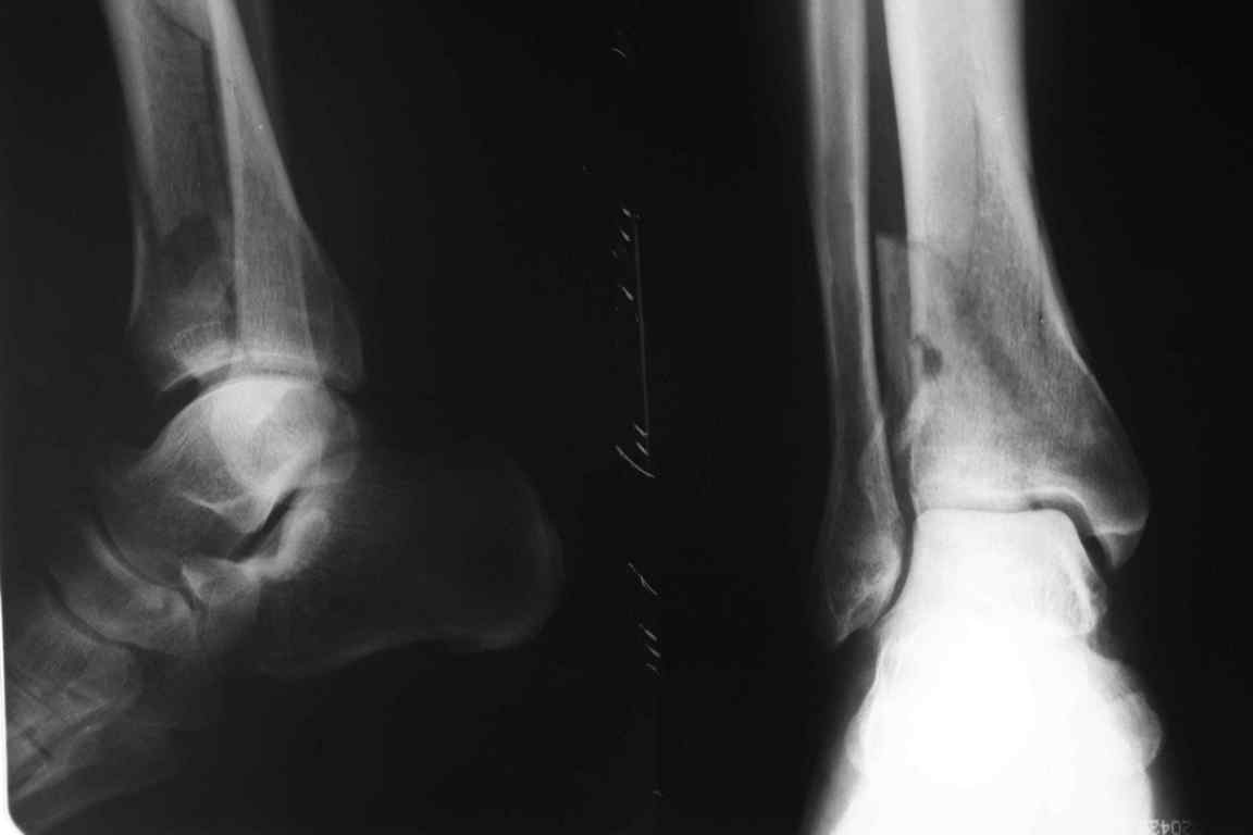
Коллеги, хотелось бы вновь поднять тему переломов пилона.

Прошу помощи в выборе метода оперативного лечения для следующего 
больного: мужчина,60 лет, травма от 21.02. Перелом закрытый, из 
сопутствующих заболеваний ГБ. Из особенностей - вес пациента 120 кг. 
Рентгенограммы в приложении.

Заранее благодарен за ответ, И. Сиротин
РГМУ




----------- следущая часть -----------
Вложение не в текстовом формате было извлечено…
Имя     : 7.jpg
Тип     : image/jpeg
Размер  : 46169 байтов
Описание: отсутствует
Url     : http://weborto.net:8080/pipermail/ortho/attachments/20080224/53df12d1/attachment-0001.jpg 


Подробная информация о списке рассылки Ortho